Mouse Monoclonal Antibody to MYLK
Description |
|---|
This gene, a muscle member of the immunoglobulin gene superfamily, encodes myosin light chain kinase which is a calcium/calmodulin dependent enzyme. This kinase phosphorylates myosin regulatory light chains to facilitate myosin interaction with actin filaments to produce contractile activity. This gene encodes both smooth muscle and nonmuscle isoforms. In addition, using a separate promoter in an intron in the 3' region, it encodes telokin, a small protein identical in sequence to the C-terminus of myosin light chain kinase, that is independently expressed in smooth muscle and functions to stabilize unphosphorylated myosin filaments. A pseudogene is located on the p arm of chromosome 3. Four transcript variants that produce four isoforms of the calcium/calmodulin dependent enzyme have been identified as well as two transcripts that produce two isoforms of telokin. Additional variants have been identified but lack full length transcripts. |
References |
|---|
| 1,Orphanet J Rare Dis. 2018 Mar 15;13(1):41 2,Genet Med. 2019 Jan;21(1):144-151. |
Specification |
|
|---|---|
| Aliases | KRP; AAT7; MLCK; MLCK1; MMIHS; MYLK1; smMLCK; MLCK108; MLCK210; MSTP083 |
| Entrez GeneID | 4638 |
| Swissprot | Q15746 |
| clone | 7F2B11 |
| WB Predicted band size | 210kDa |
| Host/Isotype | Mouse IgG1 |
| Antibody Type | Primary antibody |
| Storage | Store at 4°C short term. Aliquot and store at -20°C long term. Avoid freeze/thaw cycles. |
| Species Reactivity | Human, Mouse |
| Immunogen | Purified recombinant fragment of human MYLK (AA:1375-1524) expressed in E. Coli. |
| Formulation | Purified antibody in PBS with 0.05% sodium azide |
Application |
|
|---|---|
| WB | 1/500 - 1/2000 |
| IHC | 1/200-1/1000 |
| IF | 1/200 - 1/1000 |
| FCM | 1/200-1/400 |
| ELISA | 1/10000 |
Product Image
-
Black line: Control Antigen (100 ng);Purple line: Antigen (10ng); Blue line: Antigen (50 ng); Red line: Antigen (100 ng)

-
Western blot analysis using MYLK mouse mAb against PC-3 (1), C2C12 (2), and Hela (3) cell lysate.

-
Immunofluorescence analysis of Hela cells using MYLK mouse mAb (green). Blue: DRAQ5 fluorescent DNA dye. Red: Actin filaments have been labeled with Alexa Fluor- 555 phalloidin. Secondary antibody from Fisher (Cat#: 35503)

-
Flow cytometric analysis of hela cells using MYLK mouse mAb (green) and negative control (red).

-
Flow cytometric analysis of LNCAP cells using MYLK mouse mAb (green) and negative control (red).

-
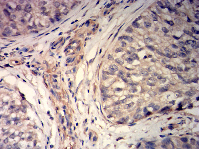
Immunohistochemical analysis of paraffin-embedded human bladder Cancer tissues using MYLK mouse mAb with DAB staining.

-
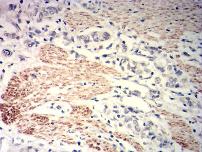
Immunohistochemical analysis of paraffin-embedded human gastric cancer tissues using MYLK mouse mAb with DAB staining.








鄂公网安备42018502007531号

