Mouse Monoclonal Antibody to FGL1
货号:
31897
别名:
HPS; HFREP1; HP-041; LFIRE1; LFIRE-1
应用:
IHC,IF,FCM
反应种属:
Human
抗体类型:
Primary antibody
Swissprot:
Q08830
规格:
目录价
在线咨询
Description |
|---|
Fibrinogen-like 1 is a member of the fibrinogen family. This protein is homologous to the carboxy terminus of the fibrinogen beta- and gamma- subunits which contains the four conserved cysteines of fibrinogens and fibrinogen related proteins. However, this protein lacks the platelet-binding site, cross-linking region and a thrombin-sensitive site which are necessary for fibrin clot formation. This protein may play a role in the development of hepatocellular carcinomas. Four alternatively spliced transcript variants encoding the same protein exist for this gene. [provided by RefSeq, Jul 2008] |
References |
|---|
| 1,Int J Oncol. 2019 Sep;55(3):697-707. 2,Endocr Metab Immune Disord Drug Targets. 2019;19(2):185-188.3,Diabetologia. 2016 Aug;59(8):1732-42. |
Specification |
|
|---|---|
| Aliases | HPS; HFREP1; HP-041; LFIRE1; LFIRE-1 |
| Entrez GeneID | 2267 |
| Swissprot | Q08830 |
| clone | 4F9C11 |
| WB Predicted band size | 36.4kDa |
| Host/Isotype | Mouse IgG2a |
| Antibody Type | Primary antibody |
| Storage | Store at 4°C short term. Aliquot and store at -20°C long term. Avoid freeze/thaw cycles. |
| Species Reactivity | Human |
| Immunogen | Purified recombinant fragment of human FGL1 (AA: 23-312) expressed in E. Coli. |
| Formulation | Purified antibody in PBS with 0.05% sodium azide |
Application |
|
|---|---|
| IHC | 1/200-1/1000 |
| IF | 1/200 - 1/1000 |
| FCM | 1/200-1/400 |
| ELISA | 1/10000 |
Product Image
-
Black line: Control Antigen (100 ng);Purple line: Antigen (10ng); Blue line: Antigen (50 ng); Red line: Antigen (100 ng)

-
Immunofluorescence analysis of Hela cells using FGL1 mouse mAb (green). Blue: DRAQ5 fluorescent DNA dye. Red: Actin filaments have been labeled with Alexa Fluor- 555 phalloidin. Secondary antibody from Fisher (Cat#: 35503)

-
Flow cytometric analysis of Hela cells using FGL1 mouse mAb (green) and negative control (red).

-
Flow cytometric analysis of HepG2 cells using FGL1 mouse mAb (green) and negative control (red).

-
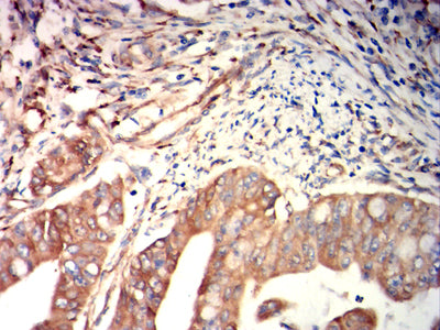
Immunohistochemical analysis of paraffin-embedded human rectal cancer tissues using FGL1 mouse mAb with DAB staining.

-
Immunohistochemical analysis of paraffin-embedded human lung cancer tissues using FGL1 mouse mAb with DAB staining.







鄂公网安备42018502007531号

