Mouse Monoclonal Antibody to Vimentin
货号:
31872
别名:
FLJ36605; VIM
应用:
WB,IHC,FCM
反应种属:
Human, Mouse, Rat
抗体类型:
Primary antibody
Swissprot:
P08670
规格:
目录价
在线咨询
Description |
|---|
This gene encodes a type III intermediate filament protein. Intermediate filaments, along with microtubules and actin microfilaments, make up the cytoskeleton. The encoded protein is responsible for maintaining cell shape and integrity of the cytoplasm, and stabilizing cytoskeletal interactions. This protein is involved in neuritogenesis and cholesterol transport and functions as an organizer of a number of other critical proteins involved in cell attachment, migration, and signaling. Bacterial and viral pathogens have been shown to attach to this protein on the host cell surface. Mutations in this gene are associated with congenital cataracts in human patients. |
References |
|---|
| 1.Pathol Res Pract. 2018 Sep;214(9):1376-1380. 2.Clin Cancer Res. 2018 Jan 15;24(2):420-432. |
Specification |
|
|---|---|
| Aliases | FLJ36605; VIM |
| Entrez GeneID | 7431 |
| Swissprot | P08670 |
| clone | 3D2F9 |
| WB Predicted band size | 53.7kDa |
| Host/Isotype | Mouse IgG2a |
| Antibody Type | Primary antibody |
| Storage | Store at 4°C short term. Aliquot and store at -20°C long term. Avoid freeze/thaw cycles. |
| Species Reactivity | Human, Mouse, Rat |
| Immunogen | Purified recombinant fragment of human VIM (AA: 2-466) expressed in E. Coli. |
| Formulation | Purified antibody in PBS with 0.05% sodium azide |
Application |
|
|---|---|
| WB | 1/500 - 1/2000 |
| IHC | 1/200-1/1000 |
| FCM | 1/200-1/400 |
| ELISA | 1/10000 |
Product Image
-
Black line: Control Antigen (100 ng);Purple line: Antigen (10ng); Blue line: Antigen (50 ng); Red line: Antigen (100 ng)

-
Western blot analysis using VIM mouse mAb against SK-N-SH (1), SH-SY5Y (2), Hela (3), NIH/3T3 (4), C6 (5), and RAW264.7 (6) cell lysate.

-
Flow cytometric analysis of Hela cells using VIM mouse mAb (green) and negative control (red).

-
Immunohistochemical analysis of paraffin-embedded human lung cancer tissues using VIM mouse mAb with DAB staining.

-
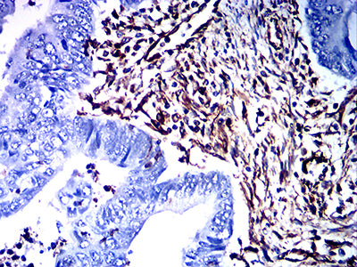
Immunohistochemical analysis of paraffin-embedded human rectum cancer tissues using VIM mouse mAb with DAB staining.






鄂公网安备42018502007531号

