Mouse Monoclonal Antibody to ACTA2
货号:
31860
别名:
ACTSA;α-Smooth Muscle Actin;Alpha-actin-2;Alpha actin 2
应用:
WB,IHC,FCM
反应种属:
Human, Mouse, Rat
抗体类型:
Primary antibody
Swissprot:
P62736
规格:
目录价
在线咨询
Description |
|---|
This gene encodes one of six different actin proteins. Actins are highly conserved proteins that are involved in cell motility, structure, integrity, and intercellular signaling. The encoded protein is a smooth muscle actin that is involved in vascular contractility and blood pressure homeostasis. Mutations in this gene cause a variety of vascular diseases, such as thoracic aortic disease, coronary artery disease, stroke, and Moyamoya disease, as well as multisystemic smooth muscle dysfunction syndrome. |
References |
|---|
| 1.BMC Med Genet. 2017 Dec 4;18(1):143. 2.Braz J Cardiovasc Surg. 2015 Nov-Dec;30(6):644-9. |
Specification |
|
|---|---|
| Aliases | ACTSA;α-Smooth Muscle Actin;Alpha-actin-2;Alpha actin 2 |
| Entrez GeneID | 59 |
| Swissprot | P62736 |
| clone | 5C1H11 |
| WB Predicted band size | 42kDa |
| Host/Isotype | Mouse IgG1 |
| Antibody Type | Primary antibody |
| Storage | Store at 4°C short term. Aliquot and store at -20°C long term. Avoid freeze/thaw cycles. |
| Species Reactivity | Human, Mouse, Rat |
| Immunogen | Purified recombinant fragment of human ACTA2 (AA: 2-124) expressed in E. Coli. |
| Formulation | Purified antibody in PBS with 0.05% sodium azide |
Application |
|
|---|---|
| WB | 1/500 - 1/2000 |
| IHC | 1/200-1/1000 |
| FCM | 1/200-1/400 |
| ELISA | 1/10000 |
Product Image
-
Black line: Control Antigen (100 ng);Purple line: Antigen (10ng); Blue line: Antigen (50 ng); Red line: Antigen (100 ng)

-
Western blot analysis using ACTA2 mouse mAb against EC (1), HUVE-12 (2), A549 (3), NIH/3T3 (4), HL-60 (5), Hela (6), and K652 (7) cell lysate.

-
Flow cytometric analysis of Hela cells using ACTA2 mouse mAb (green) and negative control (red).

-
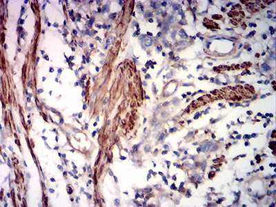
Immunohistochemical analysis of paraffin-embedded human bladder cancer tissues using ACTA2 mouse mAb with DAB staining.

-
Immunohistochemical analysis of paraffin-embedded human rectum cancer tissues using ACTA2 mouse mAb with DAB staining.






鄂公网安备42018502007531号

