Mouse Monoclonal Antibody to CD163
货号:
31803
别名:
M130; MM130; SCARI1
应用:
WB,IHC,FCM
反应种属:
Human,Mouse,Rat,Rabbit,Monkey
抗体类型:
Primary antibody
Swissprot:
Q86VB7
规格:
目录价
在线咨询
Description |
|---|
The protein encoded by this gene is a member of the scavenger receptor cysteine-rich (SRCR) superfamily, and is exclusively expressed in monocytes and macrophages. It functions as an acute phase-regulated receptor involved in the clearance and endocytosis of hemoglobin/haptoglobin complexes by macrophages, and may thereby protect tissues from free hemoglobin-mediated oxidative damage. This protein may also function as an innate immune sensor for bacteria and inducer of local inflammation. Alternatively spliced transcript variants encoding different isoforms have been described for this gene. |
References |
|---|
| 1.J Cancer Res Clin Oncol. 2018 Jul;144(7):1253-1263. 2.Cancer Biomark. 2018 Feb 14;21(3):689-700. |
Specification |
|
|---|---|
| Aliases | M130; MM130; SCARI1 |
| Entrez GeneID | 9332 |
| Swissprot | Q86VB7 |
| clone | 7G5E2 |
| WB Predicted band size | 125.4kDa |
| Host/Isotype | Mouse IgG1 |
| Antibody Type | Primary antibody |
| Storage | Store at 4°C short term. Aliquot and store at -20°C long term. Avoid freeze/thaw cycles. |
| Species Reactivity | Human,Mouse,Rat,Rabbit,Monkey |
| Immunogen | Purified recombinant fragment of human CD163 (AA: extra 42-259) expressed in E. Coli. |
| Formulation | Purified antibody in PBS with 0.05% sodium azide |
Application |
|
|---|---|
| WB | 1/500 - 1/2000 |
| IHC | 1/200 - 1/1000 |
| FCM | 1/200 - 1/400 |
| ELISA | 1/10000 |
Product Image
-
Black line: Control Antigen (100 ng);Purple line: Antigen (10ng); Blue line: Antigen (50 ng); Red line:Antigen (100 ng)

-
Western blot analysis using CD163 mouse mAb against Raw264.7 (1), NIH/3T3 (2), and HL-60 (3) cell lysate.

-
Western blot analysis using CD163 mouse mAb against PC-12(1),Raw264.7(2),NIH/3T3(3),NRK(4),C2C12(5),C6(6),L1210(7),F9(8),CHO3D10(9) cell lysate.

-
Flow cytometric analysis of COS7 cells using CD163 mouse mAb (green) and negative control (red).

-
Flow cytometric analysis of C6 cells using CD163 mouse mAb (green) and negative control (red).

-
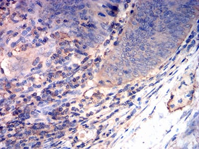
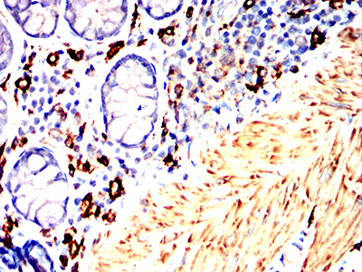
Immunohistochemical analysis of paraffin-embedded human rectum cancer tissues using CD163 mouse mAb with DAB staining.

-
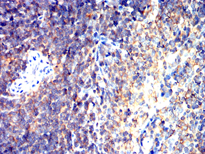
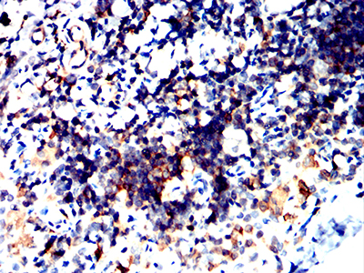
Immunohistochemical analysis of paraffin-embedded Mouse spleen using CD163 mouse mAb with DAB staining.

-
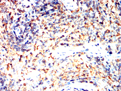
Immunohistochemical analysis of paraffin-embedded Rat spleen using CD163 mouse mAb with DAB staining.

-
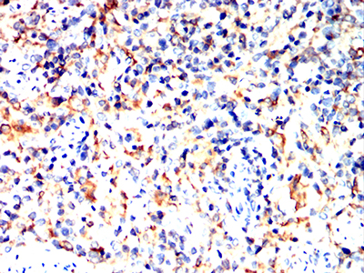
Immunohistochemical analysis of paraffin-embedded Rabbit spleen using CD163 mouse mAb with DAB staining.

-
Immunohistochemical analysis of paraffin-embedded Rabbit thymus using CD163 mouse mAb with DAB staining.

-
Immunohistochemical analysis of paraffin-embedded Rabbit rectum using CD163 mouse mAb with DAB staining.












鄂公网安备42018502007531号

