Mouse Monoclonal Antibody to MSH2
货号:
31797
别名:
FCC1; COCA1; HNPCC; LCFS2; hMSH2; HNPCC1
应用:
WB,IHC,IF,FCM
反应种属:
Human, Mouse
抗体类型:
Primary antibody
Swissprot:
P43246
规格:
目录价
在线咨询
Description |
|---|
This locus is frequently mutated in hereditary nonpolyposis colon cancer (HNPCC). When cloned, it was discovered to be a human homolog of the E. coli mismatch repair gene mutS, consistent with the characteristic alterations in microsatellite sequences (RER+ phenotype) found in HNPCC. Two transcript variants encoding different isoforms have been found for this gene. |
References |
|---|
| 1.Anticancer Res. 2018 May;38(5):2841-2848. 2.Clin Cancer Res. 2017 Nov 15;23(22):6863-6874. |
Specification |
|
|---|---|
| Aliases | FCC1; COCA1; HNPCC; LCFS2; hMSH2; HNPCC1 |
| Entrez GeneID | 4436 |
| Swissprot | P43246 |
| clone | 2E2C7 |
| WB Predicted band size | 104.7kDa |
| Host/Isotype | Mouse IgG1 |
| Antibody Type | Primary antibody |
| Storage | Store at 4°C short term. Aliquot and store at -20°C long term. Avoid freeze/thaw cycles. |
| Species Reactivity | Human, Mouse |
| Immunogen | Purified recombinant fragment of human MSH2 (AA: 442-586) expressed in E. Coli. |
| Formulation | Purified antibody in PBS with 0.05% sodium azide |
Application |
|
|---|---|
| WB | 1/500 - 1/2000 |
| IHC | 1/200 - 1/1000 |
| IF | 1/200 - 1/1000 |
| FCM | 1/200 - 1/400 |
| ELISA | 1/10000 |
Product Image
-
Black line: Control Antigen (100 ng);Purple line: Antigen (10ng); Blue line: Antigen (50 ng); Red line:Antigen (100 ng)

-
Western blot analysis using MSH2 mouse mAb against Hela (1), NIH/3T3 (2), A549 (3), and A431 (4) cell lysate.

-
Immunofluorescence analysis of Hela cells using MSH2 mouse mAb. Blue: DRAQ5 fluorescent DNA dye. Red: Actin filaments have been labeled with Alexa Fluor- 555 phalloidin.

-
Immunofluorescence analysis of Hela cells using MSH2 mouse mAb. Blue: DRAQ5 fluorescent DNA dye. Red: Actin filaments have been labeled with Alexa Fluor- 555 phalloidin.

-
Flow cytometric analysis of Hela cells using MSH2 mouse mAb (green) and negative control (red).

-
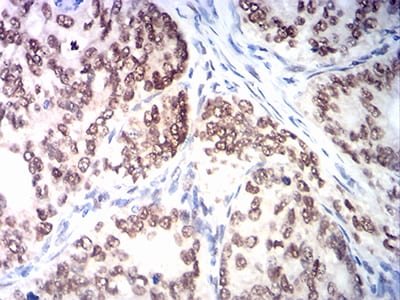
Immunohistochemical analysis of paraffin-embedded human cervical cancer tissues using MSH2 mouse mAb with DAB staining.

-
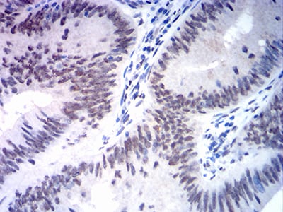
Immunohistochemical analysis of paraffin-embedded human rectum cancer tissues using MSH2 mouse mAb with DAB staining.








鄂公网安备42018502007531号

