产品中心
PRODUCT CENTER
首页 »产品中心 »抗体 »科研抗体 »
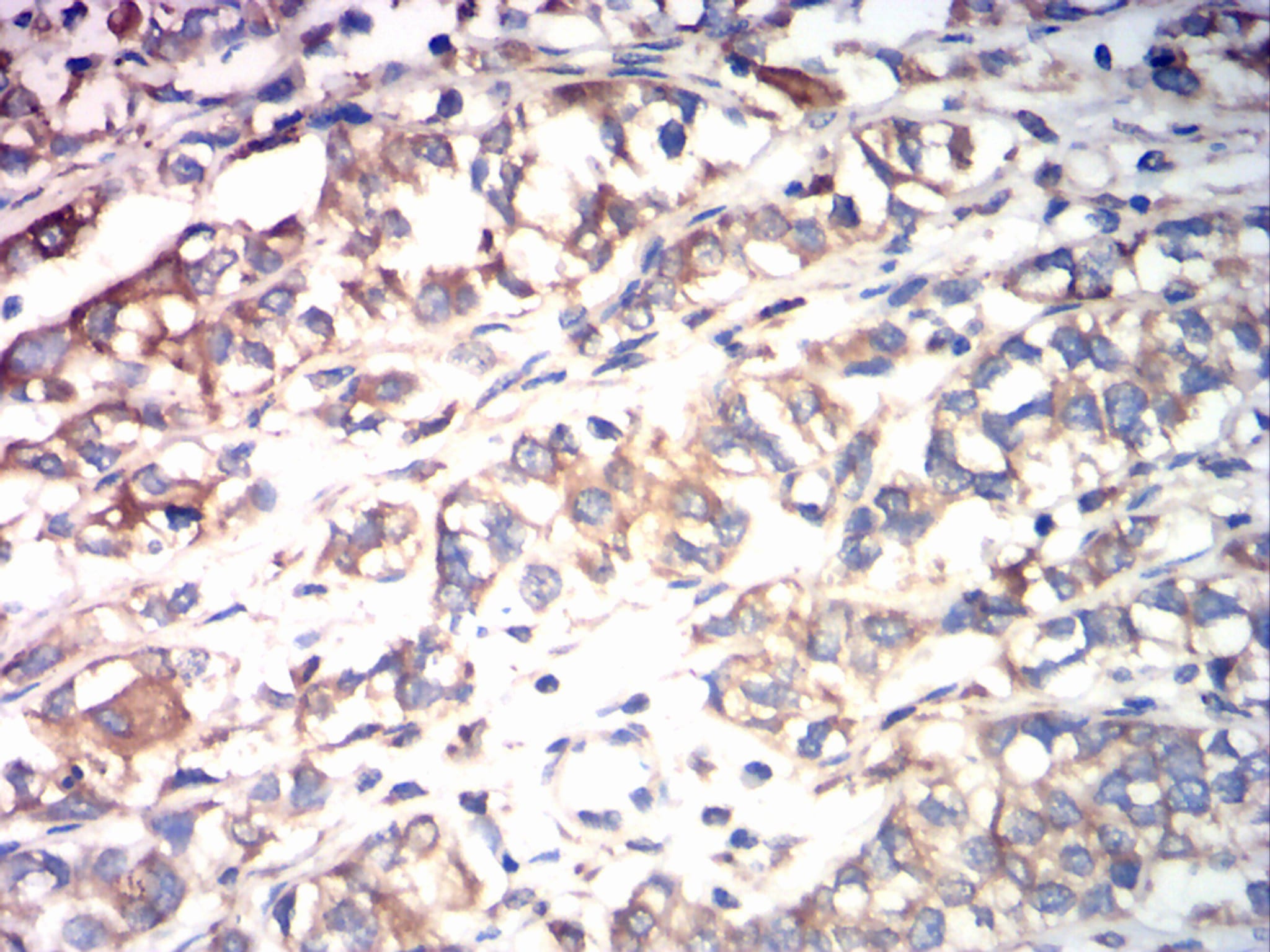
Mouse Monoclonal Antibody to CALR
货号: 31799
别名: RO; CRT; SSA; cC1qR; HEL-S-99n
应用: WB,IHC,FCM
反应种属: Human, Mouse, Rat
抗体类型: Primary antibody
Swissprot: P27797 
规格:
目录价
在线咨询

Description

Calreticulin is a multifunctional protein that acts as a major Ca(2+)-binding (storage) protein in the lumen of the endoplasmic reticulum. It is also found in the nucleus, suggesting that it may have a role in transcription regulation. Calreticulin binds to the synthetic peptide KLGFFKR, which is almost identical to an amino acid sequence in the DNA-binding domain of the superfamily of nuclear receptors. Calreticulin binds to antibodies in certain sera of systemic lupus and Sjogren patients which contain anti-Ro/SSA antibodies, it is highly conserved among species, and it is located in the endoplasmic and sarcoplasmic reticulum where it may bind calcium. The amino terminus of calreticulin interacts with the DNA-binding domain of the glucocorticoid receptor and prevents the receptor from binding to its specific glucocorticoid response element. Calreticulin can inhibit the binding of androgen receptor to its hormone-responsive DNA element and can inhibit androgen receptor and retinoic acid receptor transcriptional activities in vivo, as well as retinoic acid-induced neuronal differentiation. Thus, calreticulin can act as an important modulator of the regulation of gene transcription by nuclear hormone receptors. Systemic lupus erythematosus is associated with increased autoantibody titers against calreticulin but calreticulin is not a Ro/SS-A antigen. Earlier papers referred to calreticulin as an Ro/SS-A antigen but this was later disproven. Increased autoantibody titer against human calreticulin is found in infants with complete congenital heart block of both the IgG and IgM classes.

References

1.Endocrinology. 2017 Nov 1;158(11):3874-3889.
2.Haematologica. 2017 Oct;102(10):e394-e396.

Specification

Aliases RO; CRT; SSA; cC1qR; HEL-S-99n
Entrez GeneID 811
Swissprot P27797 
clone 7B3D7
WB Predicted band size 48.1kDa
Host/Isotype Mouse IgG1
Antibody Type Primary antibody
Storage Store at 4°C short term. Aliquot and store at -20°C long term. Avoid freeze/thaw cycles.
Species Reactivity Human, Mouse, Rat
Immunogen Purified recombinant fragment of human CALR (AA: 18-417) expressed in E. Coli.
Formulation Purified antibody in PBS with 0.05% sodium azide

Application

WB 1/500 - 1/2000
IHC 1/200 - 1/1000
FCM 1/200 - 1/400
ELISA 1/10000
联系我们
  • 电话:17771420241 18911818852
  • 联系人:刘经理
  • 地址:湖北省武汉市东湖新技术开发区高新大道666号光谷生物城C6栋C6403、C6404
微信公众号
版权所有 © 武汉博开生物科技有限公司  备案编号:鄂ICP备2024052832号-1鄂公网安备42018502007531号
17771420241 18911818852