Mouse Monoclonal Antibody to TUBB3
货号:
31801
别名:
CDCBM, CDCBM1, CFEOM3, CFEOM3A, FEOM3, TUBB4, beta-4
应用:
WB,IHC,FCM
反应种属:
Human, Mouse
抗体类型:
Loading Control Antibody
Swissprot:
Q13509
规格:
目录价
在线咨询
Description |
|---|
This gene encodes a tumor suppressor protein containing transcriptional activation, DNA binding, and oligomerization domains. The encoded protein responds to diverse cellular stresses to regulate expression of target genes, thereby inducing cell cycle arrest, apoptosis, senescence, DNA repair, or changes in metabolism. Mutations in this gene are associated with a variety of human cancers, including hereditary cancers such as Li-Fraumeni syndrome. Alternative splicing of this gene and the use of alternate promoters result in multiple transcript variants and isoforms. Additional isoforms have also been shown to result from the use of alternate translation initiation codons from identical transcript variants. |
Specification |
|
|---|---|
| Aliases | CDCBM, CDCBM1, CFEOM3, CFEOM3A, FEOM3, TUBB4, beta-4 |
| Entrez GeneID | 10381 |
| Swissprot | Q13509 |
| clone | 8E3A7 |
| WB Predicted band size | 50kDa |
| Host/Isotype | Mouse IgG1 |
| Antibody Type | Loading Control Antibody |
| Storage | Store at 4°C short term. Aliquot and store at -20°C long term. Avoid freeze/thaw cycles. |
| Species Reactivity | Human, Mouse |
| Immunogen | 436-450:cMYEDDEEESEAQGPK |
| Formulation | Purified antibody in PBS with 0.05% sodium azide |
Application |
|
|---|---|
| WB | 1/500 - 1/2000 |
| IHC | 1/200 - 1/1000 |
| FCM | 1/200 - 1/400 |
| ELISA | 1/10000 |
Product Image
-
Black line: Control Antigen (100 ng);Purple line: Antigen (10ng); Blue line: Antigen (50 ng); Red line:Antigen (100 ng)

-
Western blot analysis using TUBB3 mouse mAb against NIH/3T3 (1), Hela (2), and A549 (3) cell lysate.

-
Flow cytometric analysis of Hela cells using TUBB3 mouse mAb (green) and negative control (red).

-
Immunohistochemical analysis of paraffin-embedded human cervical cancer tissues using TUBB3 mouse mAb with DAB staining.

-
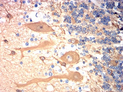
Immunohistochemical analysis of paraffin-embedded human cerebellum tissues using TUBB3 mouse mAb with DAB staining.






鄂公网安备42018502007531号

