Mouse Monoclonal Antibody to CNN3
货号:
31787
别名:
应用:
WB,IHC,IF,FCM
反应种属:
Human
抗体类型:
Primary antibody
Swissprot:
Q15417
规格:
目录价
在线咨询
Description |
|---|
This gene encodes a protein with a markedly acidic C terminus; the basic N-terminus is highly homologous to the N-terminus of a related gene, CNN1. Members of the CNN gene family all contain similar tandemly repeated motifs. This encoded protein is associated with the cytoskeleton but is not involved in contraction. |
References |
|---|
| 1.PLoS One. 2014 Jul 22;9(7):e103216. 2.Arch Dermatol Res. 2013 Sep;305(7):571-84. |
Specification |
|
|---|---|
| Entrez GeneID | 1266 |
| Swissprot | Q15417 |
| clone | 5E4E4 |
| WB Predicted band size | 36.4kDa |
| Host/Isotype | Mouse IgG1 |
| Antibody Type | Primary antibody |
| Storage | Store at 4°C short term. Aliquot and store at -20°C long term. Avoid freeze/thaw cycles. |
| Species Reactivity | Human |
| Immunogen | Purified recombinant fragment of human CNN3 (AA: 26-130) expressed in E. Coli. |
| Formulation | Purified antibody in PBS with 0.05% sodium azide |
Application |
|
|---|---|
| WB | 1/500 - 1/2000 |
| IHC | 1/200 - 1/1000 |
| IF | 1/500 - 1/2000 |
| FCM | 1/200 - 1/400 |
| ELISA | 1/10000 |
Product Image
-
Black line: Control Antigen (100 ng);Purple line: Antigen (10ng); Blue line: Antigen (50 ng); Red line:Antigen (100 ng)

-
Western blot analysis using CNN3 mouse mAb against Hela (1), U251 (2), and HEK293 (3) cell lysate.

-
Immunofluorescence analysis of Hela cells using CNN3 mouse mAb (green). Blue: DRAQ5 fluorescent DNA dye. Red: Actin filaments have been labeled with Alexa Fluor- 555 phalloidin. Secondary antibody from Fisher (Cat#: 35503)

-
Flow cytometric analysis of Hela cells using CNN3 mouse mAb (green) and negative control (red).

-
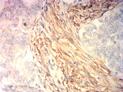
Immunohistochemical analysis of paraffin-embedded human cervical cancer tissues using CNN3 mouse mAb with DAB staining.

-
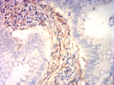
Immunohistochemical analysis of paraffin-embedded human rectum cancer tissues using CNN3 mouse mAb with DAB staining.







鄂公网安备42018502007531号

