Mouse Monoclonal Antibody to KRT19
货号:
31755
别名:
K19; CK19; K1CS
应用:
WB,IHC,FCM
反应种属:
Human, Rat
抗体类型:
Primary antibody
Swissprot:
P08727
规格:
目录价
在线咨询
Description |
|---|
The protein encoded by this gene is a member of the keratin family. The keratins are intermediate filament proteins responsible for the structural integrity of epithelial cells and are subdivided into cytokeratins and hair keratins. The type I cytokeratins consist of acidic proteins which are arranged in pairs of heterotypic keratin chains. Unlike its related family members, this smallest known acidic cytokeratin is not paired with a basic cytokeratin in epithelial cells. It is specifically expressed in the periderm, the transiently superficial layer that envelopes the developing epidermis. The type I cytokeratins are clustered in a region of chromosome 17q12-q21. [provided by RefSeq, Jul 2008] |
References |
|---|
| 1.Int J Mol Sci. 2018 May 9;19(5). 2.PLoS One. 2017 Nov 14;12(11):e0187588. |
Specification |
|
|---|---|
| Aliases | K19; CK19; K1CS |
| Entrez GeneID | 3880 |
| Swissprot | P08727 |
| clone | 2A1G9 |
| WB Predicted band size | 44.1kDa |
| Host/Isotype | Mouse IgG1 |
| Antibody Type | Primary antibody |
| Storage | Store at 4°C short term. Aliquot and store at -20°C long term. Avoid freeze/thaw cycles. |
| Species Reactivity | Human, Rat |
| Immunogen | Purified recombinant fragment of human KRT19 (AA: 80-400) expressed in E. Coli. |
| Formulation | Purified antibody in PBS with 0.05% sodium azide |
Application |
|
|---|---|
| WB | 1/500 - 1/2000 |
| IHC | 1/200 - 1/1000 |
| FCM | 1/200 - 1/400 |
| ELISA | 1/10000 |
Product Image
-
Black line: Control Antigen (100 ng);Purple line: Antigen (10ng); Blue line: Antigen (50 ng); Red line:Antigen (100 ng)

-
Western blot analysis using KRT19 mouse mAb against T47D (1), MCF-7 (2), HepG2 (3), SW620 (4), HT-29 (5), HCT116 (6), PC-12 (7), and C6 (8) cell lysate.

-
Flow cytometric analysis of Hela cells using KRT19 mouse mAb (green) and negative control (red).

-
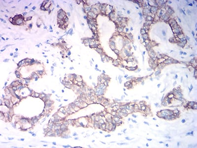
Immunohistochemical analysis of paraffin-embedded human colon cancer tissues using KRT19 mouse mAb with DAB staining.

-
Immunohistochemical analysis of paraffin-embedded human stomach cancer tissues using KRT19 mouse mAb with DAB staining.






鄂公网安备42018502007531号

