Mouse Monoclonal Antibody to KRT18
货号:
31772
别名:
K18; CK-18; CYK18
应用:
WB,IHC,IF,FCM
反应种属:
Human
抗体类型:
Primary antibody
Swissprot:
P05783
规格:
目录价
在线咨询
Description |
|---|
KRT18 encodes the type I intermediate filament chain keratin 18. Keratin 18, together with its filament partner keratin 8, are perhaps the most commonly found members of the intermediate filament gene family. They are expressed in single layer epithelial tissues of the body. Mutations in this gene have been linked to cryptogenic cirrhosis. Two transcript variants encoding the same protein have been found for this gene. |
References |
|---|
| 1.Leukemia. 2018 Dec;32(12):2685-2692. 2.BMC Neurol. 2018 Mar 24;18(1):32. |
Specification |
|
|---|---|
| Aliases | K18; CK-18; CYK18 |
| Entrez GeneID | 3875 |
| Swissprot | P05783 |
| clone | 3G6E4 |
| WB Predicted band size | 48kDa |
| Host/Isotype | Mouse IgG1 |
| Antibody Type | Primary antibody |
| Storage | Store at 4°C short term. Aliquot and store at -20°C long term. Avoid freeze/thaw cycles. |
| Species Reactivity | Human |
| Immunogen | Purified recombinant fragment of human KRT18 (AA: 1-150) expressed in E. Coli. |
| Formulation | Purified antibody in PBS with 0.05% sodium azide |
Application |
|
|---|---|
| WB | 1/500 - 1/2000 |
| IHC | 1/200 - 1/1000 |
| IF | 1/500 - 1/2000 |
| FCM | 1/200 - 1/400 |
| ELISA | 1/10000 |
Product Image
-
Black line: Control Antigen (100 ng);Purple line: Antigen (10ng); Blue line: Antigen (50 ng); Red line:Antigen (100 ng)

-
Western blot analysis using KRT18 mouse mAb against SK-BR-3 (1), HepG2 (2), T47D (3), MCF-7 (4), Hela (5), A431 (6), and HCT116 (7) cell lysate.

-
Immunofluorescence analysis of Hela cells using KRT18 mouse mAb (green). Blue: DRAQ5 fluorescent DNA dye. Red: Actin filaments have been labeled with Alexa Fluor- 555 phalloidin. Secondary antibody from Fisher (Cat#: 35503)

-
Flow cytometric analysis of Hela cells using KRT18 mouse mAb (green) and negative control (red).

-
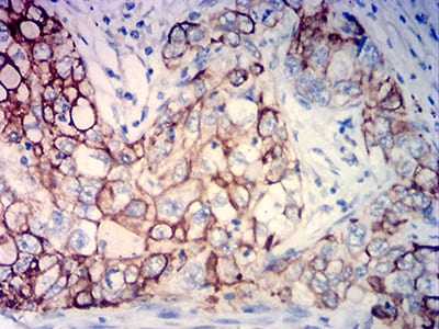
Immunohistochemical analysis of paraffin-embedded human lung cancer tissues using KRT18 mouse mAb with DAB staining.

-
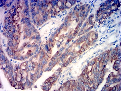
Immunohistochemical analysis of paraffin-embedded human rectum cancer tissues using KRT18 mouse mAb with DAB staining.







鄂公网安备42018502007531号

