Mouse Monoclonal Antibody to AURKB
货号:
20115
别名:
AURKB
应用:
WB,IF
反应种属:
Human, Rat, Mouse, Monkey, Rabbit
抗体类型:
Primary antibody
Swissprot:
Q96GD4
规格:
目录价
在线咨询
Description |
|---|
AURKB (aurora kinase B, AIK2 or aurora-B), with 344-amino acid protein(about 39kDa),localizes to microtubules near kinetochores, specifically to the specialized microtubules called K-fibers. AURKB is a mitotic protein kinase, which phosphorylates histone H3 and regulates Chromosomal segregation during mitosis and meiosis.It may regulates several stages of mitosis such as centrosome separation, chromosome segregation and cytokinesis.Component of the chromosomal passenger complex (CPC), a complex that acts as a key regulator of mitosis. The CPC complex has essential functions at the centromere in ensuring correct chromosome alignment and segregation and is required for chromatin-induced microtubule stabilization and spindle assembly. ARK-2 transcripts arepresent at high levels in human thymus and fetal liver.ARK-2 protein levels are maximal during both S and G2/M phases |
References |
|---|
| 1. Song J et al. Immunity 22:621-31 (2005). 2. Kapoor P et al. Mol Cell Biol 25:4934-45 (2005). |
Specification |
|
|---|---|
| Aliases | AURKB |
| Entrez GeneID | 9212 |
| Swissprot | Q96GD4 |
| clone | 13E8D3 |
| Host/Isotype | Mouse IgG1 |
| Antibody Type | Primary antibody |
| Storage | Store at 4°C short term. Aliquot and store at -20°C long term. Avoid freeze/thaw cycles. |
| Species Reactivity | Human, Rat, Mouse, Monkey, Rabbit |
| Immunogen | Purified recombinant fragment of AURKB expressed in E. Coli. |
| Formulation | Purified antibody in PBS with 0.05% sodium azide. |
Application |
|
|---|---|
| WB | 1/500 - 1/2000 |
| IHC | 1/200 - 1/1000 |
| ELISA | 1/10000 |
Product Image
-
Western blot analysis using AURKB mouse mAb against F9 (1), COS7 (2), and C2C12 (3) cell lysate.

-
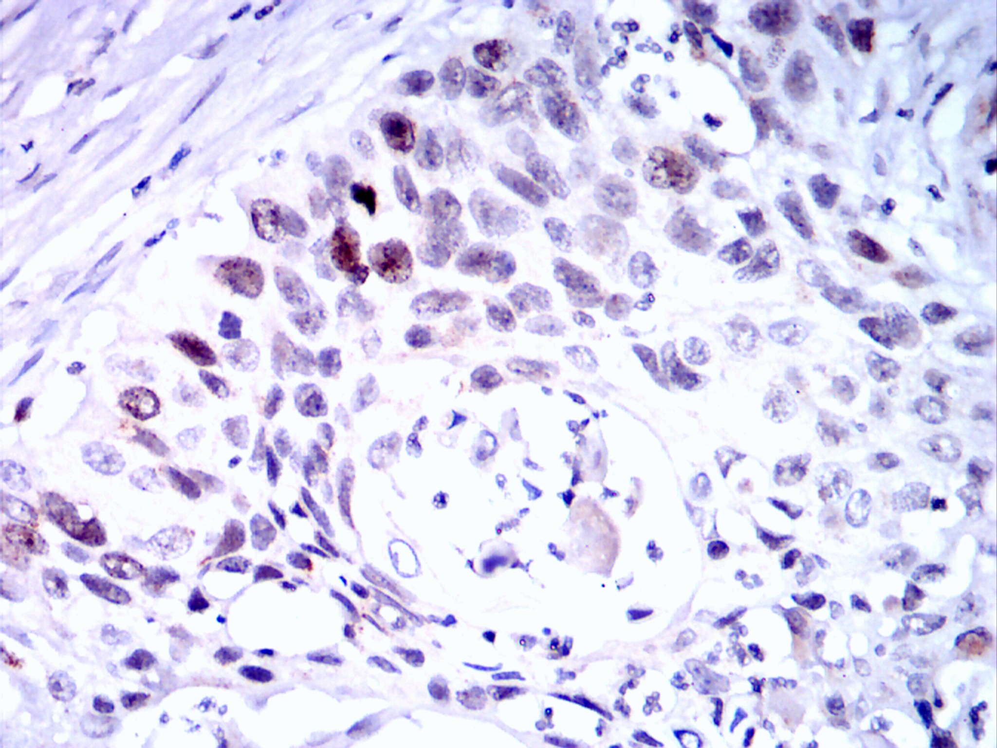
Immunohistochemical analysis of paraffin-embedded human lung cancer tissues using AURKB mouse mAb with DAB staining.

-
Immunohistochemical analysis of paraffin-embedded human colon cancer tissues using AURKB mouse mAb with DAB staining.

-
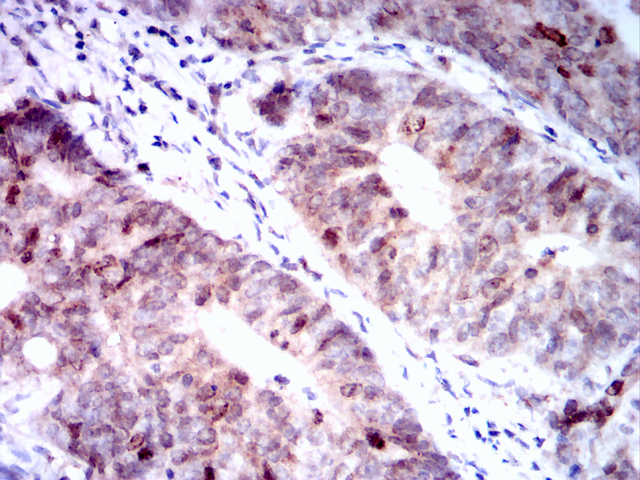
Immunohistochemical analysis of paraffin-embedded human breast cancer tissues using AURKB mouse mAb with DAB staining.

-
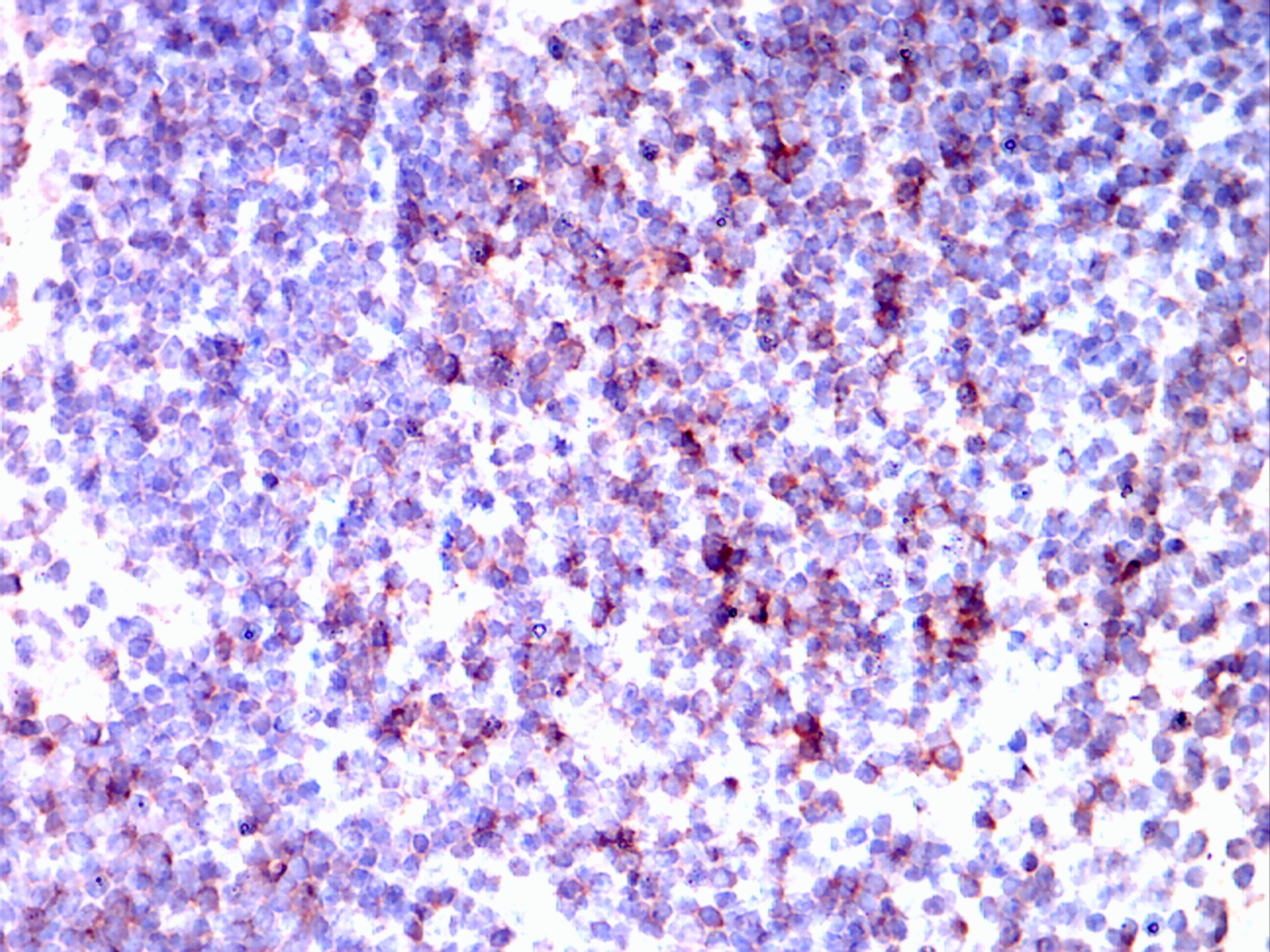
Immunohistochemical analysis of paraffin-embedded rat thymus tissues using AURKB mouse mAb with DAB staining.

-
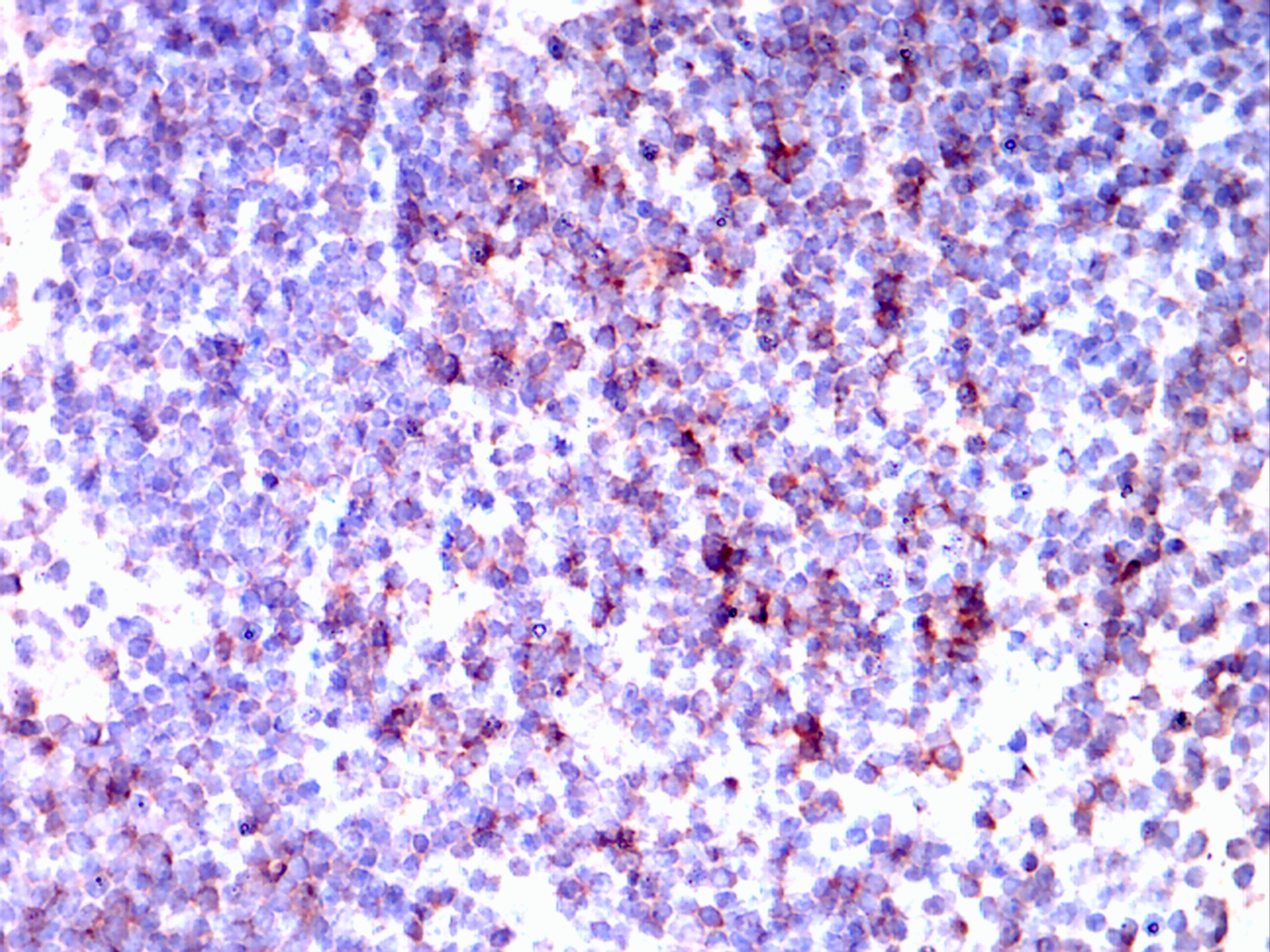
Immunohistochemical analysis of paraffin-embedded rabbit thymus tissues using AURKB mouse mAb with DAB staining.

-
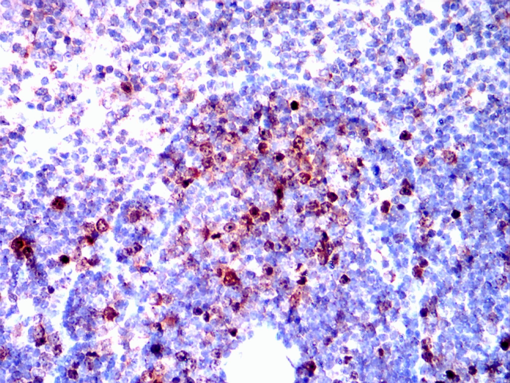
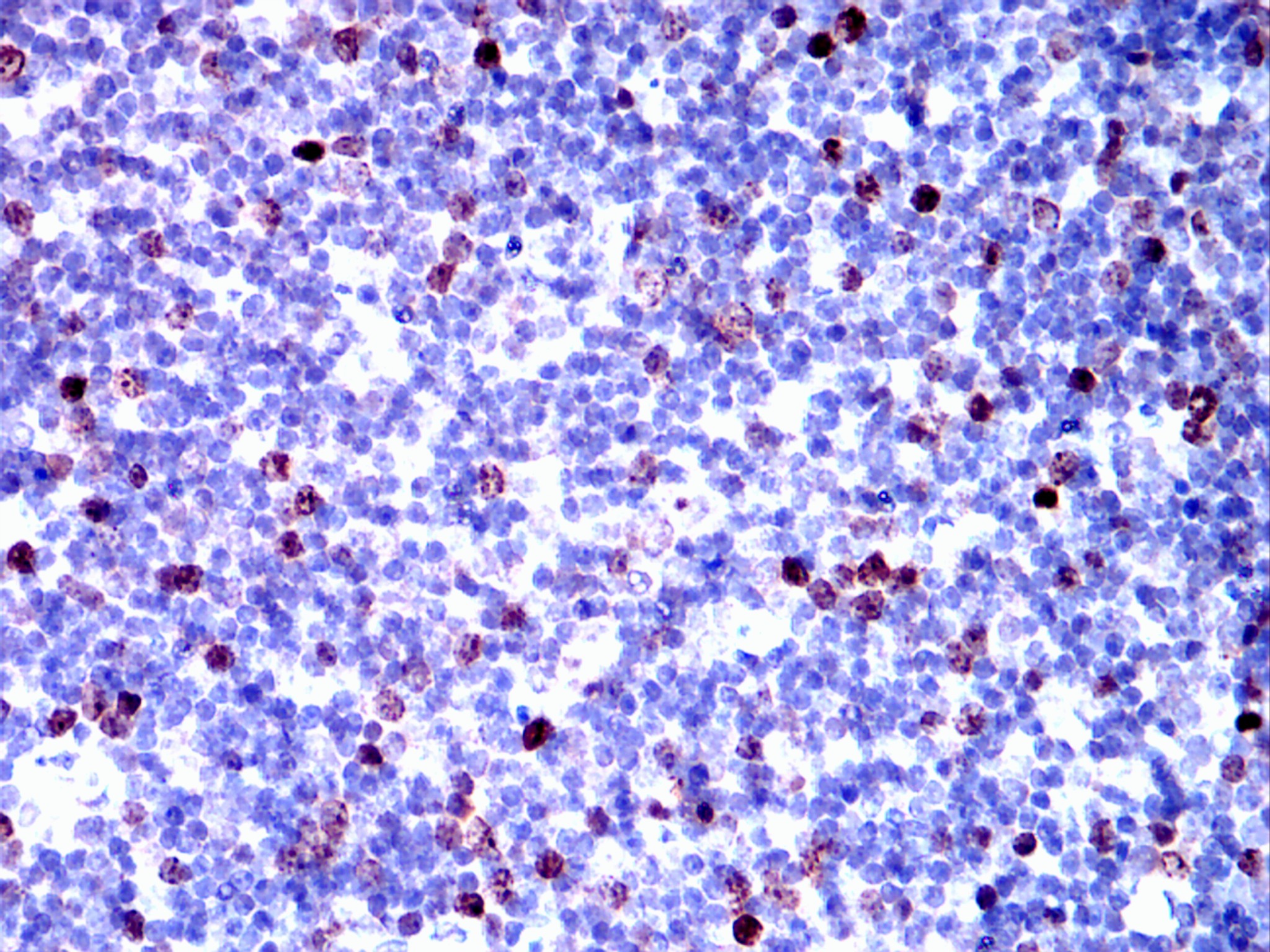
Immunohistochemical analysis of paraffin-embedded mouse spleen tissues using AURKB mouse mAb with DAB staining.








鄂公网安备42018502007531号

