Mouse Monoclonal Antibody to CD130
Description |
|---|
The protein encoded by this gene is a signal transducer shared by many cytokines, including interleukin 6 (IL6), ciliary neurotrophic factor (CNTF), leukemia inhibitory factor (LIF), and oncostatin M (OSM). This protein functions as a part of the cytokine receptor complex. The activation of this protein is dependent upon the binding of cytokines to their receptors. vIL6, a protein related to IL6 and encoded by the Kaposi sarcoma-associated herpesvirus, can bypass the interleukin 6 receptor (IL6R) and directly activate this protein. Knockout studies in mice suggest that this gene plays a critical role in regulating myocyte apoptosis. Alternatively spliced transcript variants have been described. A related pseudogene has been identified on chromosome 17. [provided by RefSeq, May 2014] |
References |
|---|
| 1.J Exp Med. 2017 Sep 4;214(9):2547-2562. 2.Biochem Biophys Res Commun. 2016 Feb 19;470(4):870-6. |
Specification |
|
|---|---|
| Aliases | IL6ST; GP130; CDW130; IL-6RB |
| Entrez GeneID | 3572 |
| Swissprot | P40189 |
| clone | 8D4D2 |
| WB Predicted band size | 103.5kDa |
| Host/Isotype | Mouse IgG1 |
| Antibody Type | Primary antibody |
| Storage | Store at 4°C short term. Aliquot and store at -20°C long term. Avoid freeze/thaw cycles. |
| Species Reactivity | Human,Monkey |
| Immunogen | Purified recombinant fragment of human CD130 (AA: extra 73-231) expressed in E. Coli. |
| Formulation | Purified antibody in PBS with 0.05% sodium azide |
Application |
|
|---|---|
| WB | 1/500 - 1/2000 |
| IHC | 1/200 - 1/1000 |
| IF | 1/200 - 1/1000 |
| FCM | 1/200 - 1/400 |
| ELISA | 1/10000 |
Product Image
-
Black line: Control Antigen (100 ng);Purple line: Antigen (10ng); Blue line: Antigen (50 ng); Red line:Antigen (100 ng)

-
Western blot analysis using CD130 mouse mAb against COS7 (1) cell lysate.

-
Immunofluorescence analysis of Hela cells using CD130 mouse mAb (green). Blue: DRAQ5 fluorescent DNA dye. Red: Actin filaments have been labeled with Alexa Fluor- 555 phalloidin. Secondary antibody from Fisher (Cat#: 35503)

-
Flow cytometric analysis of HL-60 cells using CD130 mouse mAb (green) and negative control (red).

-
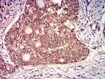
Immunohistochemical analysis of paraffin-embedded human cervical cancer tissues using CD130 mouse mAb with DAB staining.






鄂公网安备42018502007531号

