Mouse Monoclonal Antibody to RBBP7
货号:
31689
别名:
RbAp46
应用:
WB,IHC,IF,FCM
反应种属:
Human,Mouse,Rat
抗体类型:
Primary antibody
Swissprot:
Q16576
规格:
目录价
在线咨询
Description |
|---|
This protein is a ubiquitously expressed nuclear protein and belongs to a highly conserved subfamily of WD-repeat proteins. It is found among several proteins that binds directly to retinoblastoma protein, which regulates cell proliferation. The encoded protein is found in many histone deacetylase complexes, including mSin3 co-repressor complex. It is also present in protein complexes involved in chromatin assembly. This protein can interact with BRCA1 tumor-suppressor gene and may have a role in the regulation of cell proliferation and differentiation. Two transcript variants encoding different isoforms have been found for this gene. [provided by RefSeq, Nov 2010] |
References |
|---|
| 1.Lung Cancer. 2015 Sep;89(3):320-8. 2.Oncotarget. 2015 Jun 20;6(17):15397-409. |
Specification |
|
|---|---|
| Aliases | RbAp46 |
| Entrez GeneID | 5931 |
| Swissprot | Q16576 |
| clone | 2A10C2 |
| WB Predicted band size | 47.8kDa |
| Host/Isotype | Mouse IgG1 |
| Antibody Type | Primary antibody |
| Storage | Store at 4°C short term. Aliquot and store at -20°C long term. Avoid freeze/thaw cycles. |
| Species Reactivity | Human,Mouse,Rat |
| Immunogen | Purified recombinant fragment of human RBBP7 (AA: 1-200) expressed in E. Coli. |
| Formulation | Purified antibody in PBS with 0.05% sodium azide |
Application |
|
|---|---|
| WB | 1/500 - 1/2000 |
| IHC | 1/200 - 1/1000 |
| IF | 1/200 - 1/500 |
| FCM | 1/200 - 1/400 |
| ELISA | 1/10000 |
Product Image
-
Black line: Control Antigen (100 ng);Purple line: Antigen (10ng); Blue line: Antigen (50 ng); Red line:Antigen (100 ng)

-
Western blot analysis using RBBP7 mouse mAb against Jurkat (1), HepG2 (2), F9 (3), C6 (4), LNCAP (5), HL-60 (6), Hela (7), and SH-SY5Y (8) cell lysate.

-
Immunofluorescence analysis of Hela cells using RBBP7 mouse mAb. Blue: DRAQ5 fluorescent DNA dye. Red: Actin filaments have been labeled with Alexa Fluor- 555 phalloidin.

-
Immunofluorescence analysis of Hela cells using RBBP7 mouse mAb (green). Blue: DRAQ5 fluorescent DNA dye. Red: Actin filaments have been labeled with Alexa Fluor- 555 phalloidin. Secondary antibody from Fisher (Cat#: 35503)

-
Flow cytometric analysis of Hela cells using RBBP7 mouse mAb (green) and negative control (red).

-
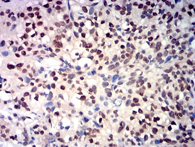
Immunohistochemical analysis of paraffin-embedded human bladder cancer tissues using RBBP7 mouse mAb with DAB staining.

-
Immunohistochemical analysis of paraffin-embedded human rectum cancer tissues using RBBP7 mouse mAb with DAB staining.








鄂公网安备42018502007531号

