Mouse Monoclonal Antibody to PCK2
货号:
31650
别名:
PEPCK; PEPCK2; PEPCK-M
应用:
WB,IHC,IF,FCM
反应种属:
Human,Rat,Monkey
抗体类型:
Primary antibody
Swissprot:
Q16822
规格:
目录价
在线咨询
Description |
|---|
This gene encodes a mitochondrial enzyme that catalyzes the conversion of oxaloacetate to phosphoenolpyruvate in the presence of guanosine triphosphate (GTP). A cytosolic form of this protein is encoded by a different gene and is the key enzyme of gluconeogenesis in the liver. Alternatively spliced transcript variants have been described. [provided by RefSeq, Apr 2014] |
References |
|---|
| 1.Oncogene. 2015 Feb 19;34(8):1044-50. 2.BMC Cancer. 2014 Mar 6;14:160. |
Specification |
|
|---|---|
| Aliases | PEPCK; PEPCK2; PEPCK-M |
| Entrez GeneID | 5106 |
| Swissprot | Q16822 |
| clone | 3D3D9 |
| WB Predicted band size | 70.7kDa |
| Host/Isotype | Mouse IgG1 |
| Antibody Type | Primary antibody |
| Storage | Store at 4°C short term. Aliquot and store at -20°C long term. Avoid freeze/thaw cycles. |
| Species Reactivity | Human,Rat,Monkey |
| Immunogen | Purified recombinant fragment of human PCK2 (AA: 44-175) expressed in E. Coli. |
| Formulation | Purified antibody in PBS with 0.05% sodium azide |
Application |
|
|---|---|
| WB | 1/500 - 1/2000 |
| IHC | 1/200 - 1/1000 |
| IF | 1/200 - 1/1000 |
| FCM | 1/200 - 1/400 |
| ELISA | 1/10000 |
Product Image
-
Black line: Control Antigen (100 ng);Purple line: Antigen (10ng); Blue line: Antigen (50 ng); Red line:Antigen (100 ng)

-
Western blot analysis using PCK2 mouse mAb against Jurkat (1), C2C12 (2), Hela (3), HepG2 (4), COS7 (5), and HL-60 (6) cell lysate.

-
Immunofluorescence analysis of Hela cells using PCK2 mouse mAb (green). Blue: DRAQ5 fluorescent DNA dye. Red: Actin filaments have been labeled with Alexa Fluor- 555 phalloidin. Secondary antibody from Fisher (Cat#: 35503)

-
Flow cytometric analysis of Hela cells using PCK2 mouse mAb (green) and negative control (red).

-
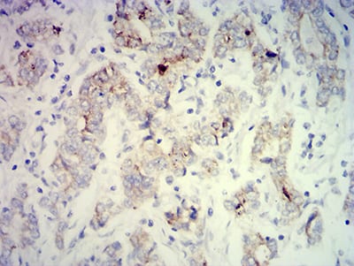
Immunohistochemical analysis of paraffin-embedded human stomach cancer tissues using PCK2 mouse mAb with DAB staining.






鄂公网安备42018502007531号

