Mouse Monoclonal Antibody to Desmin
货号:
20094
别名:
Desmin
应用:
WB,IHC,FCM
反应种属:
Human,Mouse,Rat,Rabbit,Monkey
抗体类型:
Primary antibody
Swissprot:
P17661
规格:
目录价
在线咨询
Description |
|---|
Desmin (DES), with 470-amino acid protein (about 52kDa), belongs to the intermediate filament family and Desmin is class III intermediate filaments found in muscle cells. Homopolymers of Desmin form a stable intracytoplasmic filamentous network connecting myofibrils to each other and to the plasma membrane.Mutations in Desmin are associated with desmin-related myopathy, a familial cardiac and skeletal myopathy (CSM), and with distal myopathies.Desmin is also expressed in smooth muscle cells of both airways and alveolar ducts and Desmin is a load-bearing protein that stiffens the airways and consequently the lung and modulates airway contractile response. |
References |
|---|
| 1. Felix R. Shardonofsky, Yassemi Capetanaki, and Aladin M. Boriek. Am J Physiol Lung Cell Mol Physiol, May 2006; 290: L890 - L896. 2. Xupei Huang, Jian Li, Dalton Foster. Experimental Biology and Medicine, Dec 2002; 227: 1039. |
Specification |
|
|---|---|
| Aliases | Desmin |
| Entrez GeneID | 1674 |
| Swissprot | P17661 |
| clone | 10H7D2 |
| WB Predicted band size | 54kDa |
| Host/Isotype | Mouse IgG1 |
| Antibody Type | Primary antibody |
| Storage | Store at 4°C short term. Aliquot and store at -20°C long term. Avoid freeze/thaw cycles. |
| Species Reactivity | Human,Mouse,Rat,Rabbit,Monkey |
| Immunogen | Purified recombinant fragment of Desmin expressed in E. Coli. |
| Formulation | Purified antibody in PBS with 0.05% sodium azide |
Application |
|
|---|---|
| WB | 1/500 - 1/2000 |
| IHC | 1/200 - 1/1000 |
| FCM | 1/200 - 1/400 |
| ELISA | 1/10000 |
Product Image
-
Western blot analysis using Desmin mouse mAb against PC-12(1)NIH/3T3(2 )NRK(3)C2C12(4)C6(5) cell lysate.

-
Flow cytometric analysis of C6 cells using Desmin mouse mAb (green) and negative control (red).

-
Flow cytometric analysis of COS7 cells using Desmin mouse mAb (green) and negative control (red).

-
Immunohistochemical analysis of paraffin-embedded human smooth musde sarcoma, showing cytoplasmic localization using Desmin mouse mAb with DAB staining.

-
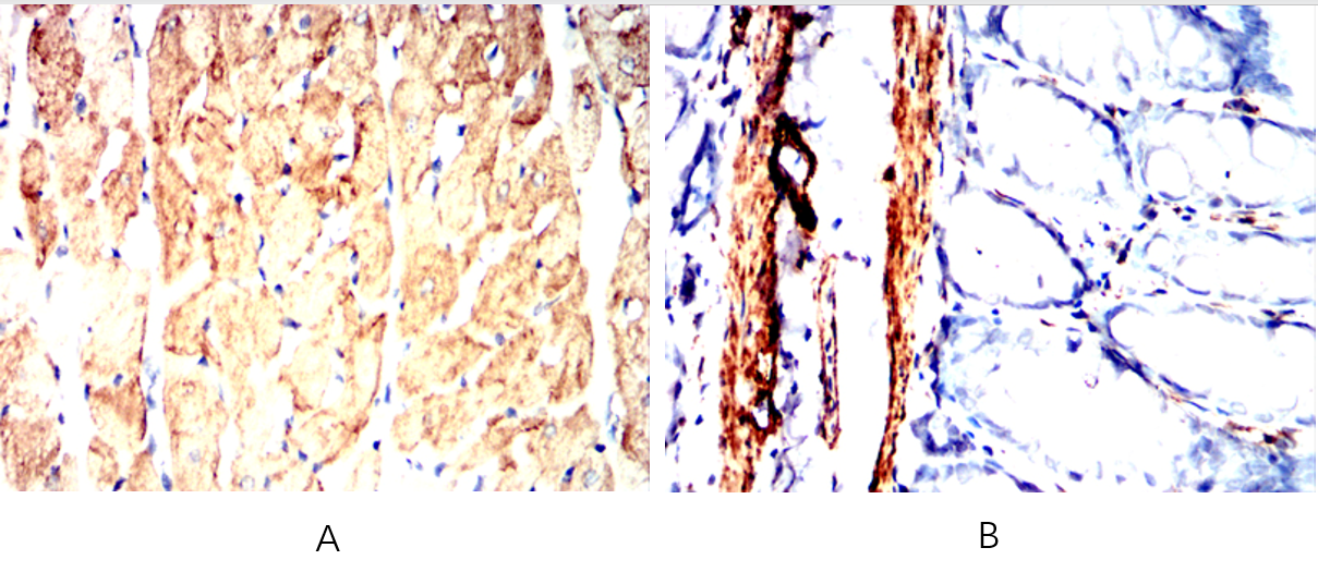
Immunohistochemical analysis of paraffin-embedded Mouse Heart(A) Mouse colon(B) using Desmin mouse mAb with DAB staining.

-
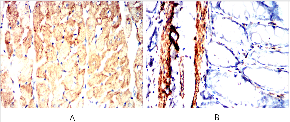
Immunohistochemical analysis of paraffin-embedded Rat Heart(A) Rat colon(B) using Desmin mouse mAb with DAB staining.

-
Immunohistochemical analysis of paraffin-embedded Rabbit Heart(A) Rabbit rectum(B) using Desmin mouse mAb with DAB staining.








鄂公网安备42018502007531号

