Mouse Monoclonal Antibody to KAT2B
货号:
31630
别名:
CAF; PCAF; P/CAF
应用:
WB,IHC,IF,FCM
反应种属:
Human,Mouse,Rat,Monkey
抗体类型:
Primary antibody
Swissprot:
Q92831
规格:
目录价
在线咨询
Description |
|---|
CBP and p300 are large nuclear proteins that bind to many sequence-specific factors involved in cell growth and/or differentiation, including c-jun and the adenoviral oncoprotein E1A. The protein encoded by this gene associates with p300/CBP. It has in vitro and in vivo binding activity with CBP and p300, and competes with E1A for binding sites in p300/CBP. It has histone acetyl transferase activity with core histones and nucleosome core particles, indicating that this protein plays a direct role in transcriptional regulation. |
References |
|---|
| 1.Cell Death Dis. 2016 Oct 6;7(10):e2400. 2.J Biol Chem. 2016 Jul 1;291(27):14363-72. |
Specification |
|
|---|---|
| Aliases | CAF; PCAF; P/CAF |
| Entrez GeneID | 8850 |
| Swissprot | Q92831 |
| clone | 7D12C8 |
| WB Predicted band size | 93kDa |
| Host/Isotype | Mouse IgG1 |
| Antibody Type | Primary antibody |
| Storage | Store at 4°C short term. Aliquot and store at -20°C long term. Avoid freeze/thaw cycles. |
| Species Reactivity | Human,Mouse,Rat,Monkey |
| Immunogen | Purified recombinant fragment of human KAT2B (AA: 1-142) expressed in E. Coli. |
| Formulation | Purified antibody in PBS with 0.05% sodium azide |
Application |
|
|---|---|
| IHC | 1/200 - 1/1000 |
| IF | 1/200 - 1/1000 |
| FCM | 1/200 - 1/400 |
| ELISA | 1/10000 |
Product Image
-
Black line: Control Antigen (100 ng);Purple line: Antigen (10ng); Blue line: Antigen (50 ng); Red line:Antigen (100 ng)

-
Western blot analysis using KAT2B mouse mAb against C2C12 (1), COS7 (2), HepG2 (3), HCT116 (4), A431 (5), LNCAP (6), NIH/3T3 (7), and F9 (8) cell lysate.

-
Immunofluorescence analysis of Hela cells using KAT2B mouse mAb (green). Blue: DRAQ5 fluorescent DNA dye. Red: Actin filaments have been labeled with Alexa Fluor- 555 phalloidin. Secondary antibody from Fisher (Cat#: 35503)

-
Flow cytometric analysis of MOLT4 cells using KAT2B mouse mAb (green) and negative control (red).

-
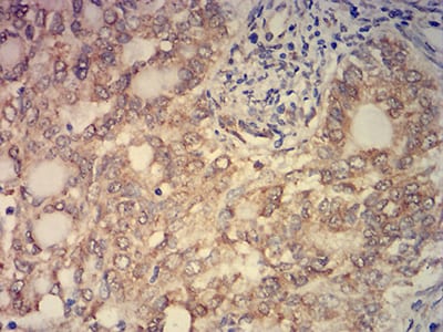
Immunohistochemical analysis of paraffin-embedded human cervical cancer tissues using KAT2B mouse mAb with DAB staining.

-
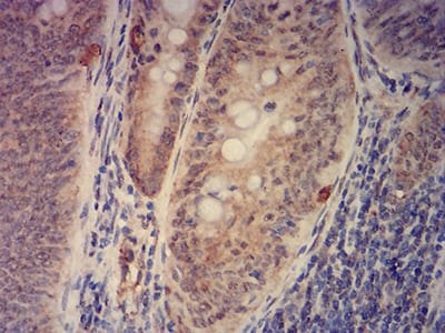
Immunohistochemical analysis of paraffin-embedded human rectum cancer tissues using KAT2B mouse mAb with DAB staining.







鄂公网安备42018502007531号

