Mouse Monoclonal Antibody to ATXN1
Description |
|---|
The autosomal dominant cerebellar ataxias (ADCA) are a heterogeneous group of neurodegenerative disorders characterized by progressive degeneration of the cerebellum, brain stem and spinal cord. Clinically, ADCA has been divided into three groups: ADCA types I-III. ADCAI is genetically heterogeneous, with five genetic loci, designated spinocerebellar ataxia (SCA) 1, 2, 3, 4 and 6, being assigned to five different chromosomes. ADCAII, which always presents with retinal degeneration (SCA7), and ADCAIII often referred to as the `pure' cerebellar syndrome (SCA5), are most likely homogeneous disorders. Several SCA genes have been cloned and shown to contain CAG repeats in their coding regions. ADCA is caused by the expansion of the CAG repeats, producing an elongated polyglutamine tract in the corresponding protein. The expanded repeats are variable in size and unstable, usually increasing in size when transmitted to successive generations. The function of the ataxins is not known. This locus has been mapped to chromosome 6, and it has been determined that the diseased allele contains 40-83 CAG repeats, compared to 6-39 in the normal allele, and is associated with spinocerebellar ataxia type 1 (SCA1). Alternative splicing results in multiple transcript variants, with one variant encoding multiple distinct proteins, ATXN1 and Alt-ATXN1, due to the use of overlapping alternate reading frames. |
References |
|---|
| 1.Oncotarget. 2017 Mar 14;8(11):18248-18259. 2.One. 2013 Oct 14;8(10):e76456. |
Specification |
|
|---|---|
| Aliases | ATX1; SCA1; D6S504E |
| Entrez GeneID | 6310 |
| Swissprot | P54253 |
| clone | 4C7B11 |
| WB Predicted band size | 86.9kDa |
| Host/Isotype | Mouse IgG1 |
| Antibody Type | Primary antibody |
| Storage | Store at 4°C short term. Aliquot and store at -20°C long term. Avoid freeze/thaw cycles. |
| Species Reactivity | Human,Mouse,Rat,Monkey |
| Immunogen | Purified recombinant fragment of human ATXN1 (AA: 645-815) expressed in E. Coli. |
| Formulation | Purified antibody in PBS with 0.05% sodium azide |
Application |
|
|---|---|
| WB | 1/500 - 1/2000 |
| IHC | 1/100 - 1/500 |
| FCM | 1/200 - 1/400 |
| ELISA | 1/10000 |
Product Image
-
Black line: Control Antigen (100 ng);Purple line: Antigen (10ng); Blue line: Antigen (50 ng); Red line:Antigen (100 ng)

-
Western blot analysis using ATXN1 mouse mAb against C6 (1), COS7 (2), NIH/3T3 (3), and HL-60 (4) cell lysate.

-
Western blot analysis using ATXN1 mouse mAb against F9(1)L1210(2)C2C12(3) cell lysate.

-
Flow cytometric analysis of Jurkat cells using ATXN1 mouse mAb (green) and negative control (red).

-
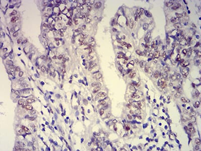
Immunohistochemical analysis of paraffin-embedded human endometrial cancer tissues using ATXN1 mouse mAb with DAB staining.

-
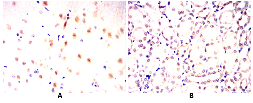
Immunohistochemical analysis of paraffin-embedded Mouse brain(A) Mouse kidney(B) using ATXN1 mouse mAb with DAB staining.

-
Immunohistochemical analysis of paraffin-embedded Rat brain(A) Rat kidney(B) using ATXN1 mouse mAb with DAB staining.








鄂公网安备42018502007531号

