Mouse Monoclonal Antibody to GSTP1
货号:
20099
别名:
PI; DFN7; GST3; FAEES3
应用:
WB,IHC,IF,FCM
反应种属:
Human
抗体类型:
Primary antibody
Swissprot:
P09211
规格:
目录价
在线咨询
Description |
|---|
GSTP1 (glutathione-S-transferase, pi 1), also called GST3/DFN7, is a family of enzymes that play an important role in detoxification by catalyzing the conjugation of many hydrophobic and electrophilic compounds with reduced glutathione. GSTP1 act like a tumor suppressor gene, which when inactivated leads to tumor growth, and the -class glutathione S-transferase is commonly inactivated by somatic CpGisland hypermethylation in cancers of the prostate, liver, and breast. Methylation of regulatory sequences at the GSTP1 gene locus is found in the vast majority (>90%) of prostate carcinomas and is associated with transcriptional down-regulation. |
References |
|---|
| 1. Kimihiko Satoh, Ken Itoh, Masayuki Yamamoto. 2002. Carcinogenesis. 23: 457 - 462. 2. Xiaohui Lin,William G. Nelson.2003.Cancer Research. 63: 498-504. |
Specification |
|
|---|---|
| Aliases | PI; DFN7; GST3; FAEES3 |
| Entrez GeneID | 2950 |
| Swissprot | P09211 |
| clone | 3F2C2 |
| WB Predicted band size | 23kDa |
| Host/Isotype | Mouse IgG1 |
| Antibody Type | Primary antibody |
| Storage | Store at 4°C short term. Aliquot and store at -20°C long term. Avoid freeze/thaw cycles. |
| Species Reactivity | Human |
| Immunogen | Purified recombinant fragment of human GSTP1 expressed in E. Coli. |
| Formulation | Purified antibody in PBS with 0.05% sodium azide. |
Application |
|
|---|---|
| WB | 1/500 - 1/2000 |
| IHC | 1/200 - 1/1000 |
| IF | 1/200 - 1/1000 |
| FCM | 1/200 - 1/400 |
| ELISA | 1/10000 |
Product Image
-
Western blot analysis using GSTP1 mouse mAb against PC3 cell lysate (1) and human cerebellum tissue lysate (2).

-
Confocal Immunofluorescence analysis of HepG2 (left) and L-02 (right) cells using GSTP1 mouse mAb (green). Red: Actin filaments have been labeled with DY-554 phalloidin. Blue: DRAQ5 fluorescent DNA dye.

-
Confocal Immunofluorescence analysis of PC-3 cells using GSTP1 mouse mAb (green). Blue: DRAQ5 fluorescent DNA dye.

-
Flow cytometric analysis of K562 cells using GSTP1 mouse mAb (green) and negative control (purple).

-
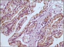
Immunohistochemical analysis of paraffin-embedded human prostate tissues using GSTP1 mouse mAb with DAB staining.






鄂公网安备42018502007531号

