Mouse Monoclonal Antibody to CD11a
货号:
31525
别名:
ITGAL; LFA-1; LFA1A
应用:
WB,IHC,FCM
反应种属:
Human
抗体类型:
Primary antibody
Swissprot:
P20701
规格:
目录价
在线咨询
Description |
|---|
ITGAL encodes the integrin alpha L chain. Integrins are heterodimeric integral membrane proteins composed of an alpha chain and a beta chain. This I-domain containing alpha integrin combines with the beta 2 chain (ITGB2) to form the integrin lymphocyte function-associated antigen-1 (LFA-1), which is expressed on all leukocytes. LFA-1 plays a central role in leukocyte intercellular adhesion through interactions with its ligands, ICAMs 1-3 (intercellular adhesion molecules 1 through 3), and also functions in lymphocyte costimulatory signaling. Two transcript variants encoding different isoforms have been found for this gene. |
References |
|---|
| 1.Int J Clin Exp Pathol. 2015 Dec 1;8(12):15642-51. 2.Cytometry B Clin Cytom. 2013 Nov-Dec;84(6):370-8. |
Specification |
|
|---|---|
| Aliases | ITGAL; LFA-1; LFA1A |
| Entrez GeneID | 3683 |
| Swissprot | P20701 |
| clone | 5G7C5 |
| WB Predicted band size | 128.8kDa |
| Host/Isotype | Mouse IgG2a |
| Antibody Type | Primary antibody |
| Storage | Store at 4°C short term. Aliquot and store at -20°C long term. Avoid freeze/thaw cycles. |
| Species Reactivity | Human |
| Immunogen | Purified recombinant fragment of human CD11a (AA: extra 26-194) expressed in E. Coli. |
| Formulation | Purified antibody in PBS with 0.05% sodium azide |
Application |
|
|---|---|
| WB | 1/500 - 1/2000 |
| IHC | 1/200 - 1/1000 |
| FCM | 1/200 - 1/400 |
| ELISA | 1/10000 |
Product Image
-
Black line: Control Antigen (100 ng);Purple line: Antigen (10ng); Blue line: Antigen (50 ng); Red line:Antigen (100 ng)

-
Western blot analysis using CD11a mouse mAb against HL-60 (1), A549 (2), and SW620 (3) cell lysate.

-
Flow cytometric analysis of HL-60 cells using CD11a mouse mAb (green) and negative control (red).

-
Immunohistochemical analysis of paraffin-embedded human tonsil tissues using CD11a mouse mAb with DAB staining.

-
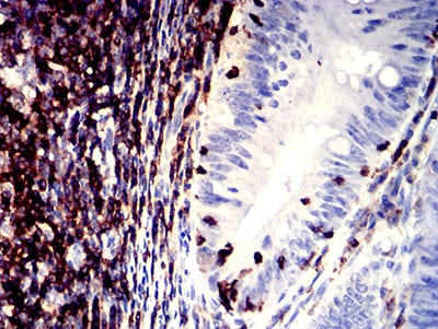
Immunohistochemical analysis of paraffin-embedded human rectum cancer tissues using CD11a mouse mAb with DAB staining.






鄂公网安备42018502007531号

