Mouse Monoclonal Antibody to CD66A
货号:
31433
别名:
CEACAM1; BGP; BGP1; BGPI
应用:
WB,IHC,FCM
反应种属:
Human
抗体类型:
Primary antibody
Swissprot:
P13688
规格:
目录价
在线咨询
Description |
|---|
This gene encodes a member of the carcinoembryonic antigen (CEA) gene family, which belongs to the immunoglobulin superfamily. Two subgroups of the CEA family, the CEA cell adhesion molecules and the pregnancy-specific glycoproteins, are located within a 1.2 Mb cluster on the long arm of chromosome 19. Eleven pseudogenes of the CEA cell adhesion molecule subgroup are also found in the cluster. The encoded protein was originally described in bile ducts of liver as biliary glycoprotein. Subsequently, it was found to be a cell-cell adhesion molecule detected on leukocytes, epithelia, and endothelia. The encoded protein mediates cell adhesion via homophilic as well as heterophilic binding to other proteins of the subgroup. Multiple cellular activities have been attributed to the encoded protein, including roles in the differentiation and arrangement of tissue three-dimensional structure, angiogenesis, apoptosis, tumor suppression, metastasis, and the modulation of innate and adaptive immune responses. Multiple transcript variants encoding different isoforms have been reported, but the full-length nature of all variants has not been defined. |
References |
|---|
| 1.J Biol Chem. 2016 Sep 16;291(38):20085-95. 2.PLoS One. 2016 Apr 13;11(4):e0153601. |
Specification |
|
|---|---|
| Aliases | CEACAM1; BGP; BGP1; BGPI |
| Entrez GeneID | 634 |
| Swissprot | P13688 |
| clone | 7B9G3 |
| WB Predicted band size | 57.6kDa |
| Host/Isotype | Mouse IgG2b |
| Antibody Type | Primary antibody |
| Storage | Store at 4°C short term. Aliquot and store at -20°C long term. Avoid freeze/thaw cycles. |
| Species Reactivity | Human |
| Immunogen | Purified recombinant fragment of human CD66A (AA: extra 65-201) expressed in E. Coli. |
| Formulation | Purified antibody in PBS with 0.05% sodium azide |
Application |
|
|---|---|
| WB | 1/500 - 1/2000 |
| IHC | 1/200 - 1/1000 |
| FCM | 1/200 - 1/400 |
| ELISA | 1/10000 |
Product Image
-
Black line: Control Antigen (100 ng);Purple line: Antigen (10ng); Blue line: Antigen (50 ng); Red line:Antigen (100 ng)

-
Western blot analysis using CD66A mouse mAb against HepG2 (1), SK-MES-1 (2), Hela (3), and A549 (4) cell lysate.

-
Flow cytometric analysis of Hela cells using CD66A mouse mAb (green) and negative control (red).

-
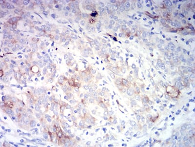
Immunohistochemical analysis of paraffin-embedded human lung cancer tissues using CD66A mouse mAb with DAB staining.

-
Immunohistochemical analysis of paraffin-embedded human cervical cancer tissues using CD66A mouse mAb with DAB staining.






鄂公网安备42018502007531号

