Mouse Monoclonal Antibody to APC2
货号:
31410
别名:
APCL
应用:
IHC,IF,FCM
反应种属:
Human
抗体类型:
Primary antibody
Swissprot:
O95996
规格:
目录价
在线咨询
Description |
|---|
This gene encodes a strongly conserved protein that has an N-terminal coiled-coil domain followed by an armadillo domain, five 20-amino acid repeats, and two SAMP domains. This protein promotes the assembly of a multiprotein complex that recruits and phosphorylates the Wnt effector beta-catenin and targets beta-catenin for ubiquitylation and proteasomal degradation. This protein therefore plays a role in the reduction of cytoplasmic levels of beta-catenin which in turn reduces activation of Wnt target genes that play a pivotal role in the pathogenesis of various human cancers. The protein encoded by this gene is closely related to the adenomatous polyposis coli (APC) tumor-suppressor protein and has similar tumor-suppressor effects. This gene also plays a role in actin assembly, cell-cell adhesion, and microtubule network formation through its interaction with cytoskeletal proteins. This gene has its highest expression in the central nervous system and is involved in brain development through cytoskeletal regulation in neurons. Alternative splicing produces multiple transcript variants encoding distinct isoforms. |
References |
|---|
| 1.Cell Rep. 2015 Mar 3. pii: S2211-1247(15)00139-4. 2.Cancer Res. 2000 Jan 1;60(1):101-5. |
Specification |
|
|---|---|
| Aliases | APCL |
| Entrez GeneID | 10297 |
| Swissprot | O95996 |
| clone | 3A2G2 |
| WB Predicted band size | 244kDa |
| Host/Isotype | Mouse IgG1 |
| Antibody Type | Primary antibody |
| Storage | Store at 4°C short term. Aliquot and store at -20°C long term. Avoid freeze/thaw cycles. |
| Species Reactivity | Human |
| Immunogen | Purified recombinant fragment of human APC2 (AA: 2041-2181) expressed in E. Coli. |
| Formulation | Purified antibody in PBS with 0.05% sodium azide |
Application |
|
|---|---|
| IHC | 1/200 - 1/1000 |
| IF | 1/200 - 1/1000 |
| FCM | 1/200 - 1/400 |
| ELISA | 1/10000 |
Product Image
-
Black line: Control Antigen (100 ng);Purple line: Antigen (10ng); Blue line: Antigen (50 ng); Red line:Antigen (100 ng)

-
Immunofluorescence analysis of Hela cells using APC2 mouse mAb (green). Blue: DRAQ5 fluorescent DNA dye. Red: Actin filaments have been labeled with Alexa Fluor- 555 phalloidin. Secondary antibody from Fisher (Cat#: 35503)

-
Flow cytometric analysis of Hela cells using APC2 mouse mAb (green) and negative control (red).

-
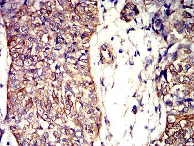
Immunohistochemical analysis of paraffin-embedded human ovarian cancer tissues using APC2 mouse mAb with DAB staining.

-
Immunohistochemical analysis of paraffin-embedded human bladder cancer tissues using APC2 mouse mAb with DAB staining.






鄂公网安备42018502007531号

