Mouse Monoclonal Antibody to CD183
货号:
31359
别名:
CXCR3; GPR9; MigR; CD182; Mig-R; CKR-L2; CMKAR3; IP10-R
应用:
WB,IHC,FCM
反应种属:
Human
抗体类型:
Primary antibody
Swissprot:
P49682
规格:
目录价
在线咨询
Description |
|---|
This gene encodes a G protein-coupled receptor with selectivity for three chemokines, termed CXCL9/Mig (monokine induced by interferon-g), CXCL10/IP10 (interferon-g-inducible 10 kDa protein) and CXCL11/I-TAC (interferon-inducible T cell a-chemoattractant). Binding of chemokines to this protein induces cellular responses that are involved in leukocyte traffic, most notably integrin activation, cytoskeletal changes and chemotactic migration. Alternatively spliced transcript variants encoding different isoforms have been found for this gene. One of the isoforms (CXCR3-B) shows high affinity binding to chemokine, CXCL4/PF4 (PMID:12782716). |
References |
|---|
| 1.Hum Pathol. 2015 Dec;46(12):1872-80. 2.Breast Cancer Res Treat. 2015 Jan;149(2):403-15. |
Specification |
|
|---|---|
| Aliases | CXCR3; GPR9; MigR; CD182; Mig-R; CKR-L2; CMKAR3; IP10-R |
| Entrez GeneID | 2833 |
| Swissprot | P49682 |
| clone | 5C10B3 |
| WB Predicted band size | 40.7kDa |
| Host/Isotype | Mouse IgG1 |
| Antibody Type | Primary antibody |
| Storage | Store at 4°C short term. Aliquot and store at -20°C long term. Avoid freeze/thaw cycles. |
| Species Reactivity | Human |
| Immunogen | Purified recombinant fragment of human CD183 (AA: extra mix) expressed in E. Coli. |
| Formulation | Purified antibody in PBS with 0.05% sodium azide |
Application |
|
|---|---|
| WB | 1/500 - 1/2000 |
| IHC | 1/200 - 1/1000 |
| FCM | 1/200 - 1/400 |
| ELISA | 1/10000 |
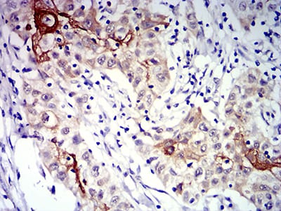
Product Image
-
Black line: Control Antigen (100 ng);Purple line: Antigen (10ng); Blue line: Antigen (50 ng); Red line:Antigen (100 ng)

-
Western blot analysis using CD183 mouse mAb against Hela (1) and L-02 (2) cell lysate.

-
Flow cytometric analysis of HL-60 cells using CD183 mouse mAb (green) and negative control (red).

-
Flow cytometric analysis of Jurkat cells using CD183 mouse mAb (green) and negative control (red).

-
Immunohistochemical analysis of paraffin-embedded human bladder cancer tissues using CD183 mouse mAb with DAB staining.






鄂公网安备42018502007531号

