Mouse Monoclonal Antibody to P2RY14
货号:
31333
别名:
P2Y14; BPR105; GPR105
应用:
IHC,IF,FCM
反应种属:
Human
抗体类型:
Primary antibody
Swissprot:
Q15391
规格:
目录价
在线咨询
Description |
|---|
The product of this gene belongs to the family of G-protein coupled receptors, which contains several receptor subtypes with different pharmacological selectivity for various adenosine and uridine nucleotides. This receptor is a P2Y purinergic receptor for UDP-glucose and other UDP-sugars coupled to G-proteins. It has been implicated in extending the known immune system functions of P2Y receptors by participating in the regulation of the stem cell compartment, and it may also play a role in neuroimmune function. Two transcript variants encoding the same protein have been identified for this gene. |
References |
|---|
| 1.Mol Pharmacol. 2013 Jul;84(1):41-9. 2.Bioorg Med Chem Lett. 2007 Feb 1;17(3):761-6. |
Specification |
|
|---|---|
| Aliases | P2Y14; BPR105; GPR105 |
| Entrez GeneID | 9934 |
| Swissprot | Q15391 |
| clone | 5A3F1 |
| WB Predicted band size | 39kDa |
| Host/Isotype | Mouse IgG2b |
| Antibody Type | Primary antibody |
| Storage | Store at 4°C short term. Aliquot and store at -20°C long term. Avoid freeze/thaw cycles. |
| Species Reactivity | Human |
| Immunogen | Purified recombinant fragment of human P2RY14 (AA: extra mix) expressed in E. Coli. |
| Formulation | Purified antibody in PBS with 0.05% sodium azide |
Application |
|
|---|---|
| IHC | 1/200 - 1/1000 |
| IF | 1/200 - 1/1000 |
| FCM | 1/200 - 1/400 |
| ELISA | 1/10000 |
Product Image
-
Black line: Control Antigen (100 ng);Purple line: Antigen (10ng); Blue line: Antigen (50 ng); Red line:Antigen (100 ng)

-
Immunofluorescence analysis of Hela cells using P2RY14 mouse mAb (green). Blue: DRAQ5 fluorescent DNA dye. Red: Actin filaments have been labeled with Alexa Fluor- 555 phalloidin. Secondary antibody from Fisher (Cat#: 35503)

-
Flow cytometric analysis of Hela cells using P2RY14 mouse mAb (green) and negative control (red).

-
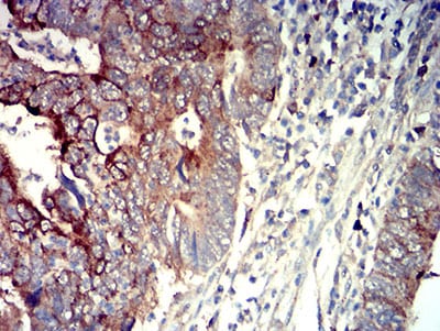
Immunohistochemical analysis of paraffin-embedded human lung cancer tissues using P2RY14 mouse mAb with DAB staining.

-
Immunohistochemical analysis of paraffin-embedded human rectum cancer tissues using P2RY14 mouse mAb with DAB staining.






鄂公网安备42018502007531号

