Mouse Monoclonal Antibody to P2RY1
货号:
31320
别名:
P2Y1
应用:
WB,IHC,FCM
反应种属:
Human,Rat
抗体类型:
Primary antibody
Swissprot:
P47900
规格:
目录价
在线咨询
Description |
|---|
The product of this gene belongs to the family of G-protein coupled receptors. This family has several receptor subtypes with different pharmacological selectivity, which overlaps in some cases, for various adenosine and uridine nucleotides. This receptor functions as a receptor for extracellular ATP and ADP. In platelets binding to ADP leads to mobilization of intracellular calcium ions via activation of phospholipase C, a change in platelet shape, and probably to platelet aggregation. |
References |
|---|
| 1.Nature. 2015 Apr 16;520(7547):317-21. 2.Biochem Pharmacol. 2011 Aug 15;82(4):418-25. |
Specification |
|
|---|---|
| Aliases | P2Y1 |
| Entrez GeneID | 5028 |
| Swissprot | P47900 |
| clone | 4G5D6 |
| WB Predicted band size | 42kDa |
| Host/Isotype | Mouse IgG2b |
| Antibody Type | Primary antibody |
| Storage | Store at 4°C short term. Aliquot and store at -20°C long term. Avoid freeze/thaw cycles. |
| Species Reactivity | Human,Rat |
| Immunogen | Purified recombinant fragment of human P2RY1 (AA: extra mix) expressed in E. Coli. |
| Formulation | Purified antibody in PBS with 0.05% sodium azide |
Application |
|
|---|---|
| WB | 1/500 - 1/2000 |
| IHC | 1/200 - 1/1000 |
| FCM | 1/200 - 1/400 |
| ELISA | 1/10000 |
Product Image
-
Black line: Control Antigen (100 ng);Purple line: Antigen (10ng); Blue line: Antigen (50 ng); Red line:Antigen (100 ng)

-
Western blot analysis using P2RY1 mouse mAb against SPC-A-1 (1) and C6 (2) cell lysate.

-
Flow cytometric analysis of Hela cells using P2RY1 mouse mAb (green) and negative control (red).

-
Flow cytometric analysis of K562 cells using P2RY1 mouse mAb (green) and negative control (red).

-
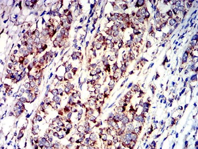
Immunohistochemical analysis of paraffin-embedded human bladder cancer tissues using P2RY1 mouse mAb with DAB staining.

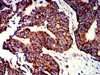
-
Immunohistochemical analysis of paraffin-embedded human rectum cancer tissues using P2RY1 mouse mAb with DAB staining.







鄂公网安备42018502007531号

