Mouse Monoclonal Antibody to P2RY8
货号:
31307
别名:
P2Y8
应用:
IHC,IF,FCM
反应种属:
Human
抗体类型:
Primary antibody
Swissprot:
Q86VZ1
规格:
目录价
在线咨询
Description |
|---|
The protein encoded by this gene belongs to the family of G-protein coupled receptors, that are preferentially activated by adenosine and uridine nucleotides. This gene is moderately expressed in undifferentiated HL60 cells, and is located on both chromosomes X and Y. |
References |
|---|
| 1.J Exp Med. 2015 Dec 14;212(13):2213-22. 2.Blood. 2010 Jul 1;115(26):5393-7. |
Specification |
|
|---|---|
| Aliases | P2Y8 |
| Entrez GeneID | 286530 |
| Swissprot | Q86VZ1 |
| clone | 1G5A11 |
| WB Predicted band size | 40.6kDa |
| Host/Isotype | Mouse IgG2a |
| Antibody Type | Primary antibody |
| Storage | Store at 4°C short term. Aliquot and store at -20°C long term. Avoid freeze/thaw cycles. |
| Species Reactivity | Human |
| Immunogen | Purified recombinant fragment of human P2RY8 (AA: extra mix) expressed in E. Coli. |
| Formulation | Purified antibody in PBS with 0.05% sodium azide |
Application |
|
|---|---|
| IHC | 1/200 - 1/1000 |
| IF | 1/100 - 1/500 |
| FCM | 1/200 - 1/400 |
| ELISA | 1/10000 |
Product Image
-
Black line: Control Antigen (100 ng);Purple line: Antigen (10ng); Blue line: Antigen (50 ng); Red line:Antigen (100 ng)

-
Immunofluorescence analysis of Hela cells using P2RY8 mouse mAb (green). Blue: DRAQ5 fluorescent DNA dye. Red: Actin filaments have been labeled with Alexa Fluor- 555 phalloidin. Secondary antibody from Fisher (Cat#: 35503)

-
Flow cytometric analysis of Hela cells using P2RY8 mouse mAb (green) and negative control (red).

-
Immunohistochemical analysis of paraffin-embedded human cervical cancer tissues using P2RY8 mouse mAb with DAB staining.

-
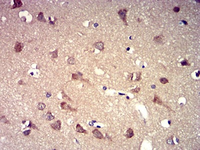
Immunohistochemical analysis of paraffin-embedded human brain tissues using P2RY8 mouse mAb with DAB staining.






鄂公网安备42018502007531号

