Mouse Monoclonal Antibody to CD195
货号:
31326
别名:
CCR5; CKR5; CCR-5; CKR-5; CCCKR5; CMKBR5; IDDM22; CC-CKR-5
应用:
WB,IHC,FCM
反应种属:
Human,Rat
抗体类型:
Primary antibody
Swissprot:
P51681
规格:
目录价
在线咨询
Description |
|---|
This gene encodes a member of the beta chemokine receptor family, which is predicted to be a seven transmembrane protein similar to G protein-coupled receptors. This protein is expressed by T cells and macrophages, and is known to be an important co-receptor for macrophage-tropic virus, including HIV, to enter host cells. Defective alleles of this gene have been associated with the HIV infection resistance. The ligands of this receptor include monocyte chemoattractant protein 2 (MCP-2), macrophage inflammatory protein 1 alpha (MIP-1 alpha), macrophage inflammatory protein 1 beta (MIP-1 beta) and regulated on activation normal T expressed and secreted protein (RANTES). Expression of this gene was also detected in a promyeloblastic cell line, suggesting that this protein may play a role in granulocyte lineage proliferation and differentiation. This gene is located at the chemokine receptor gene cluster region. An allelic polymorphism in this gene results in both functional and non-functional alleles; the reference genome represents the functional allele. Two transcript variants encoding the same protein have been found for this gene. |
References |
|---|
| 1.J Leukoc Biol. 2015 Jul;98(1):59-71. 2.J Gen Virol. 2015 Aug;96(8):2074-8. |
Specification |
|
|---|---|
| Aliases | CCR5; CKR5; CCR-5; CKR-5; CCCKR5; CMKBR5; IDDM22; CC-CKR-5 |
| Entrez GeneID | 1234 |
| Swissprot | P51681 |
| clone | 6G11D1 |
| WB Predicted band size | 40.5kDa |
| Host/Isotype | Mouse IgG1 |
| Antibody Type | Primary antibody |
| Storage | Store at 4°C short term. Aliquot and store at -20°C long term. Avoid freeze/thaw cycles. |
| Species Reactivity | Human,Rat |
| Immunogen | Purified recombinant fragment of human CD195 (AA: extra mix) expressed in E. Coli. |
| Formulation | Purified antibody in PBS with 0.05% sodium azide |
Application |
|
|---|---|
| WB | 1/500 - 1/2000 |
| IHC | 1/200 - 1/1000 |
| FCM | 1/200 - 1/400 |
| ELISA | 1/10000 |
Product Image
-
Black line: Control Antigen (100 ng);Purple line: Antigen (10ng); Blue line: Antigen (50 ng); Red line:Antigen (100 ng)

-
Western blot analysis using CD195 mouse mAb against MOLT4 (1), L-02 (2), SPA-C-1 (3), A549 (4), and C6 (5) cell lysate.

-
Flow cytometric analysis of K562 cells using CD195 mouse mAb (green) and negative control (red).

-
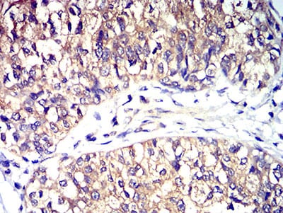
Immunohistochemical analysis of paraffin-embedded human cervical cancer tissues using CD195 mouse mAb with DAB staining.

-
Immunohistochemical analysis of paraffin-embedded human bladder cancer tissues using CD195 mouse mAb with DAB staining.






鄂公网安备42018502007531号

