Mouse Monoclonal Antibody to GAPDH
货号:
20035
别名:
G3PD; GAPD; MGC88685;Glyceraldehyde-3-phosphate dehydrogenase
应用:
WB,IHC,IF,FCM
反应种属:
Human,Mouse,Rat,Rabbit,Monkey,Pig
抗体类型:
Loading Control Antibody
Swissprot:
P04406
规格:
目录价
在线咨询
Description |
|---|
Glyceraldehyde-3-phosphate dehydrogenase (GAPDH) is well known as one of the key enzymes involved in glycolysis. It catalyzes an important energy-yielding step in carbohydrate metabolism, the reversible oxidative phosphorylation of glyceraldehyde-3-phosphate in the presence of inorganic phosphate and nicotinamide adenine dinucleotide (NAD). The enzyme exists as a tetramer of identical chains. Besides its functioning as a glycolytic enzyme in cytoplasm, recent evidence suggest that mammalian GAPDH is also involved in a great number of intracellular proceses such as membrane fusion, microtubule bundling, phosphotransferase activity, nuclear RNA export, DNA replication, and DNA repair. During the last decade a lot of findings appeared concerning the role of GAPDH in different pathologies including prostate cancer progression, programmed neuronal cell death, age- related neuronal diseases, such as Alzheimer |
References |
|---|
| 1. Allen R.W. J. Biol. Chem. 1987.262:649-653. 2. Sumner CJ. Ann Neurol 2003.54:6 47-54. |
Specification |
|
|---|---|
| Aliases | G3PD; GAPD; MGC88685;Glyceraldehyde-3-phosphate dehydrogenase |
| Entrez GeneID | 2597 |
| Swissprot | P04406 |
| clone | 1A10 |
| WB Predicted band size | 37kDa |
| Host/Isotype | Mouse IgG1 |
| Antibody Type | Loading Control Antibody |
| Storage | Store at 4°C short term. Aliquot and store at -20°C long term. Avoid freeze/thaw cycles. |
| Species Reactivity | Human,Mouse,Rat,Rabbit,Monkey,Pig |
| Immunogen | Purified recombinant fragment of human GAPDH expressed in E. Coli. |
| Formulation | Purified antibody in PBS with 0.05% sodium azide. |
Application |
|
|---|---|
| WB | 1/5000- 1/20000 |
| IHC | 1/200 - 1/1000 |
| IF | 1/200 - 1/1000 |
| FCM | 1/200 - 1/400 |
| ELISA | 1/10000 |
Product Image
-
Western blot analysis using GAPDH mouse mAb against Hela (1), A549 (2), A431 (3), MCF-7 (4), K562 (5), Jurkat (6), HL60 (7), SKN-SH (8) and SKBR-3 (9) cell lysate.

-
Confocal Immunofluorescence analysis of methanol-fixed HepG2 (left) and Hela (right) cells using GAPDH mouse mAb (green), showing cytoplasmic localization. Blue: DRAQ5 fluorescent DNA dye.

-
Immunofluorescence analysis of NIH3T3 cells using GAPDH mouse mAb (green). Blue: DRAQ5 fluorescent DNA dye. Red: Actin filaments have been labeled with Alexa Fluor- 555 phalloidin.

-
Flow cytometric analysis of NIH3T3 cells using GAPDH mouse mAb (green) and negative control (red).

-
Flow cytometric analysis of COS7 cells using GAPDH mouse mAb (green) and negative control (red).

-
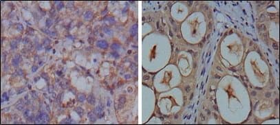
Immunohistochemical analysis of paraffin-embedded human breast carcinoma (left) and kidney carcinoma (right), showing cytoplasmic localization using GAPDH mouse mAb with DAB staining.

-
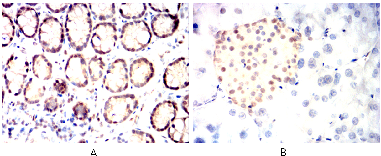
Immunohistochemical analysis of paraffin-embedded Mouse colon(A) Mouse pancreas(B) using GAPDH mouse mAb with DAB staining.

-
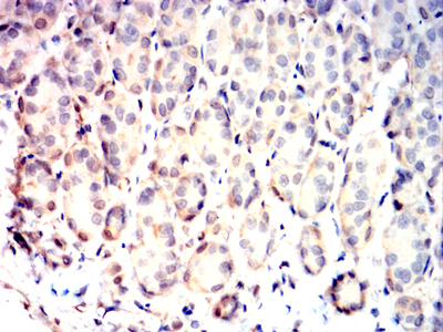
Immunohistochemical analysis of paraffin-embedded Rat stomach using GAPDH mouse mAb with DAB staining.

-
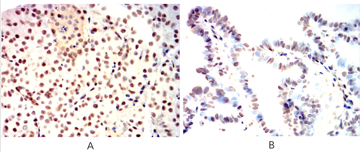
Immunohistochemical analysis of paraffin-embedded Rabbit pancreas(A) Rabbit prostate(B) using GAPDH mouse mAb with DAB staining.










鄂公网安备42018502007531号

