Mouse Monoclonal Antibody to TNFSF11
货号:
31304
别名:
CD254; ODF; OPGL; sOdf; OPTB2; RANKL; TNLG6B; TRANCE; hRANKL2
应用:
WB,IHC,IF,FCM
反应种属:
Human,Mouse,Rat,Monkey,Rabbit
抗体类型:
Primary antibody
Swissprot:
O14788
规格:
目录价
在线咨询
Description |
|---|
This gene encodes a member of the tumor necrosis factor (TNF) cytokine family which is a ligand for osteoprotegerin and functions as a key factor for osteoclast differentiation and activation. This protein was shown to be a dentritic cell survival factor and is involved in the regulation of T cell-dependent immune response. T cell activation was reported to induce expression of this gene and lead to an increase of osteoclastogenesis and bone loss. This protein was shown to activate antiapoptotic kinase AKT/PKB through a signaling complex involving SRC kinase and tumor necrosis factor receptor-associated factor (TRAF) 6, which indicated this protein may have a role in the regulation of cell apoptosis. Targeted disruption of the related gene in mice led to severe osteopetrosis and a lack of osteoclasts. The deficient mice exhibited defects in early differentiation of T and B lymphocytes, and failed to form lobulo-alveolar mammary structures during pregnancy. Two alternatively spliced transcript variants have been found. |
References |
|---|
| 1.Breast Cancer Res. 2015 Feb 21;17:24. 2.Immunobiology. 2015 May;220(5):692-700. |
Specification |
|
|---|---|
| Aliases | CD254; ODF; OPGL; sOdf; OPTB2; RANKL; TNLG6B; TRANCE; hRANKL2 |
| Entrez GeneID | 8600 |
| Swissprot | O14788 |
| clone | 8A7B9 |
| WB Predicted band size | 35.5kDa |
| Host/Isotype | Mouse IgG1 |
| Antibody Type | Primary antibody |
| Storage | Store at 4°C short term. Aliquot and store at -20°C long term. Avoid freeze/thaw cycles. |
| Species Reactivity | Human,Mouse,Rat,Monkey,Rabbit |
| Immunogen | Purified recombinant fragment of human TNFSF11 (AA: 74-308) expressed in E. Coli. |
| Formulation | Purified antibody in PBS with 0.05% sodium azide |
Application |
|
|---|---|
| WB | 1/500 - 1/2000 |
| IHC | 1/100 - 1/500 |
| IF | 1/50 - 1/500 |
| FCM | 1/200 - 1/400 |
| ELISA | 1/10000 |
Product Image
-
Black line: Control Antigen (100 ng);Purple line: Antigen (10ng); Blue line: Antigen (50 ng); Red line:Antigen (100 ng)

-
Western blot analysis using TNFSF11 mouse mAb against COS7 (1), Hela (2), U937 (3), HL-60 (4), Raji (5), Ramos (6), Jurkat (7), and SW480 (8) cell lysate.

-
Western blot analysis using TNFSF11 mouse mAb against PC-12(1)NIH/3T3(2)C2C12(3)C6(4)L1210(5)F9(6)COS-7(7)cell lysate.

-
Immunofluorescence analysis of Hela cells using TNFSF11 mouse mAb (green). Blue: DRAQ5 fluorescent DNA dye. Red: Actin filaments have been labeled with Alexa Fluor- 555 phalloidin. Secondary antibody from Fisher (Cat#: 35503)

-
Flow cytometric analysis of Hela cells using TNFSF11 mouse mAb (green) and negative control (red).

-
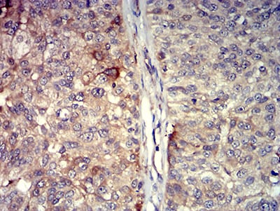
Immunohistochemical analysis of paraffin-embedded human bladder cancer tissues using TNFSF11 mouse mAb with DAB staining.

-
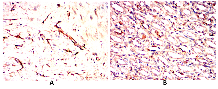
Immunohistochemical analysis of paraffin-embedded Mouse brain(A) Mouse kidney(B) using TNFSF11 mouse mAb with DAB staining.

-
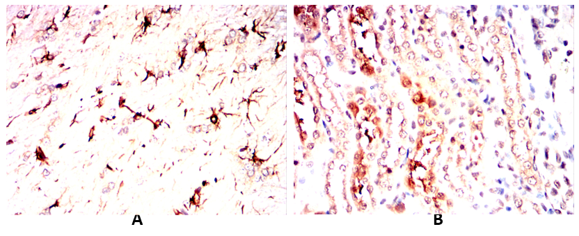
Immunohistochemical analysis of paraffin-embedded Rat brain(A) Rat kidney(B) using TNFSF11 mouse mAb with DAB staining.

-
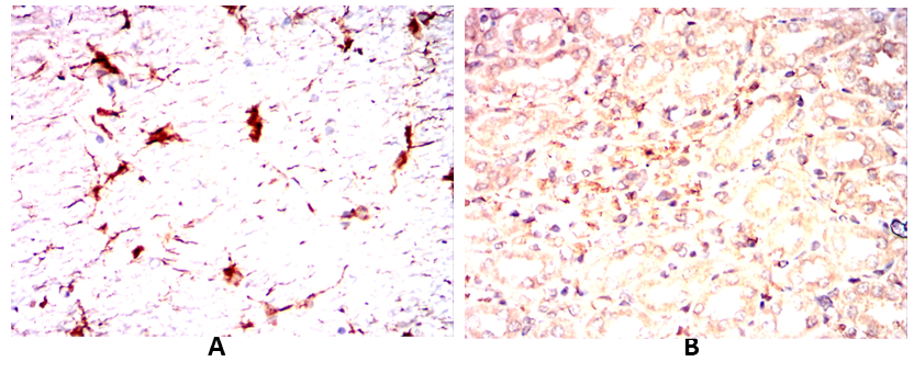
Immunohistochemical analysis of paraffin-embedded Rabbit brain(A) Rabbit kidney(B) using TNFSF11 mouse mAb with DAB staining.










鄂公网安备42018502007531号

