Mouse Monoclonal Antibody to ATPIF1
货号:
31272
别名:
IP; ATPI; ATPIP
应用:
IHC,IF,FCM
反应种属:
Human
抗体类型:
Primary antibody
Swissprot:
Q9UII2
规格:
目录价
在线咨询
Description |
|---|
This gene encodes a mitochondrial ATPase inhibitor. Alternative splicing occurs at this locus and three transcript variants encoding distinct isoforms have been identified. |
References |
|---|
| 1.Pathobiology. 2015;82(5):224-32. 2.Cell Rep. 2014 Apr 10;7(1):27-34. |
Specification |
|
|---|---|
| Aliases | IP; ATPI; ATPIP |
| Entrez GeneID | 93974 |
| Swissprot | Q9UII2 |
| clone | 1F3B8 |
| WB Predicted band size | 12.3kDa |
| Host/Isotype | Mouse IgG2b |
| Antibody Type | Primary antibody |
| Storage | Store at 4°C short term. Aliquot and store at -20°C long term. Avoid freeze/thaw cycles. |
| Species Reactivity | Human |
| Immunogen | Purified recombinant fragment of human ATPIF1 (AA: 1-106) expressed in E. Coli. |
| Formulation | Purified antibody in PBS with 0.05% sodium azide |
Application |
|
|---|---|
| IHC | 1/200 - 1/1000 |
| IF | 1/100 - 1/500 |
| FCM | 1/200 - 1/400 |
| ELISA | 1/10000 |
Product Image
-
Black line: Control Antigen (100 ng);Purple line: Antigen (10ng); Blue line: Antigen (50 ng); Red line:Antigen (100 ng)

-
Immunofluorescence analysis of Hela cells using ATPIF1 mouse mAb (green). Blue: DRAQ5 fluorescent DNA dye. Red: Actin filaments have been labeled with Alexa Fluor- 555 phalloidin. Secondary antibody from Fisher (Cat#: 35503)

-
Flow cytometric analysis of Hela cells using ATPIF1 mouse mAb (green) and negative control (red).

-
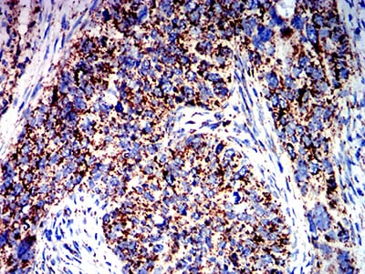
Immunohistochemical analysis of paraffin-embedded human lung cancer tissues using ATPIF1 mouse mAb with DAB staining.

-
Immunohistochemical analysis of paraffin-embedded human cervical cancer tissues using ATPIF1 mouse mAb with DAB staining.






鄂公网安备42018502007531号

