Mouse Monoclonal Antibody to AURKA
货号:
31238
别名:
AIK; ARK1; AURA; BTAK; STK6; STK7; STK15; PPP1R47
应用:
WB,IHC,IF,FCM
反应种属:
Human
抗体类型:
Primary antibody
Swissprot:
O14965
规格:
目录价
在线咨询
Description |
|---|
The protein encoded by this gene is a cell cycle-regulated kinase that appears to be involved in microtubule formation and/or stabilization at the spindle pole during chromosome segregation. The encoded protein is found at the centrosome in interphase cells and at the spindle poles in mitosis. This gene may play a role in tumor development and progression. A processed pseudogene of this gene has been found on chromosome 1, and an unprocessed pseudogene has been found on chromosome 10. Multiple transcript variants encoding the same protein have been found for this gene. |
References |
|---|
| 1.Mol Cancer Ther. 2015 Dec;14(12):2753-61. 2.Oncol Res Treat. 2015;38(9):442-7. |
Specification |
|
|---|---|
| Aliases | AIK; ARK1; AURA; BTAK; STK6; STK7; STK15; PPP1R47 |
| Entrez GeneID | 6790 |
| Swissprot | O14965 |
| clone | 2D8A4 |
| WB Predicted band size | 45.8kDa |
| Host/Isotype | Mouse IgG2b |
| Antibody Type | Primary antibody |
| Storage | Store at 4°C short term. Aliquot and store at -20°C long term. Avoid freeze/thaw cycles. |
| Species Reactivity | Human |
| Immunogen | Purified recombinant fragment of human AURKA (AA: 268-404) expressed in E. Coli. |
| Formulation | Purified antibody in PBS with 0.05% sodium azide |
Application |
|
|---|---|
| WB | 1/500 - 1/2000 |
| IHC | 1/200 - 1/1000 |
| IF | 1/200 - 1/1000 |
| FCM | 1/200 - 1/400 |
| ELISA | 1/10000 |
Product Image
-
Black line: Control Antigen (100 ng);Purple line: Antigen (10ng); Blue line: Antigen (50 ng); Red line:Antigen (100 ng)

-
Western blot analysis using AURKA mouse mAb against HEK293 (1), MCF-7 (2), and Hela (3) cell lysate.

-
Immunofluorescence analysis of Hela cells using AURKA mouse mAb (green). Blue: DRAQ5 fluorescent DNA dye. Red: Actin filaments have been labeled with Alexa Fluor- 555 phalloidin. Secondary antibody from Fisher (Cat#: 35503)

-
Immunofluorescence analysis of SMMC-7721 cells using AURKA mouse mAb (green). Blue: DRAQ5 fluorescent DNA dye. Red: Actin filaments have been labeled with Alexa Fluor- 555 phalloidin. Secondary antibody from Fisher (Cat#: 35503)

-
Flow cytometric analysis of HeLa cells using AURKA mouse mAb (green) and negative control (red).

-
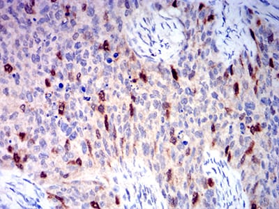
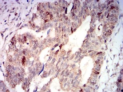
Immunohistochemical analysis of paraffin-embedded human cervical cancer tissues using AURKA mouse mAb with DAB staining.

-
Immunohistochemical analysis of paraffin-embedded human rectum cancer tissues using AURKA mouse mAb with DAB staining.








鄂公网安备42018502007531号

