Mouse Monoclonal Antibody to BAX
货号:
31249
别名:
BCL2L4
应用:
WB,IHC,FCM
反应种属:
Human,Mouse,Rat,Rabbit,Monkey
抗体类型:
Primary antibody
Swissprot:
Q07812
规格:
目录价
在线咨询
Description |
|---|
The protein encoded by this gene belongs to the BCL2 protein family. BCL2 family members form hetero- or homodimers and act as anti- or pro-apoptotic regulators that are involved in a wide variety of cellular activities. This protein forms a heterodimer with BCL2, and functions as an apoptotic activator. This protein is reported to interact with, and increase the opening of, the mitochondrial voltage-dependent anion channel (VDAC), which leads to the loss in membrane potential and the release of cytochrome c. The expression of this gene is regulated by the tumor suppressor P53 and has been shown to be involved in P53-mediated apoptosis. Multiple alternatively spliced transcript variants, which encode different isoforms, have been reported for this gene. |
References |
|---|
| 1.Rev Esp Enferm Dig. 2015 Jul;107(8):520-1. 2.Cell Death Dis. 2015 Jul 9;6:e1809. |
Specification |
|
|---|---|
| Aliases | BCL2L4 |
| Entrez GeneID | 581 |
| Swissprot | Q07812 |
| clone | 4H9B11 |
| WB Predicted band size | 21.2kDa |
| Host/Isotype | Mouse IgG2a |
| Antibody Type | Primary antibody |
| Storage | Store at 4°C short term. Aliquot and store at -20°C long term. Avoid freeze/thaw cycles. |
| Species Reactivity | Human,Mouse,Rat,Rabbit,Monkey |
| Immunogen | Purified recombinant fragment of human BAX (AA: 13-160) expressed in E. Coli. |
| Formulation | Purified antibody in PBS with 0.05% sodium azide |
Application |
|
|---|---|
| WB | 1/500-1/1000 |
| IHC | 1/200 - 1/1000 |
| FCM | 1/200 - 1/400 |
| ELISA | 1/10000 |
Product Image
-
Black line: Control Antigen (100 ng);Purple line: Antigen (10ng); Blue line: Antigen (50 ng); Red line:Antigen (100 ng)

-
Western blot analysis using BAX mouse mAb against RSC-96(1),NRK(2),C2C12(3),C6(4) cell lysate.

-
Flow cytometric analysis of COS7 cells using BAX mouse mAb (green) and negative control (red).

-
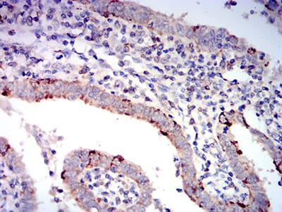
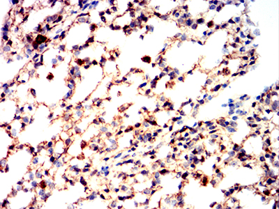
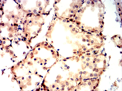
Immunohistochemical analysis of paraffin-embedded human cervical cancer tissues using BAX mouse mAb with DAB staining.

-
Immunohistochemical analysis of paraffin-embedded human endometrial cancer tissues using BAX mouse mAb with DAB staining.

-
Immunohistochemical analysis of paraffin-embedded Mouse lung using BAX mouse mAb with DAB staining.

-
Immunohistochemical analysis of paraffin-embedded Mouse cerebellum using BAX mouse mAb with DAB staining.

-
Immunohistochemical analysis of paraffin-embedded Rat kidney using BAX mouse mAb with DAB staining.

-
Immunohistochemical analysis of paraffin-embedded Rat thyroid using BAX mouse mAb with DAB staining.

-
Immunohistochemical analysis of paraffin-embedded Rabbit thymus using BAX mouse mAb with DAB staining.











鄂公网安备42018502007531号

