Mouse Monoclonal Antibody to ATG3
货号:
31200
别名:
APG3; APG3L; PC3-96; APG3-LIKE
应用:
WB,IHC,IF,FCM
反应种属:
Human
抗体类型:
Primary antibody
Swissprot:
Q9NT62
规格:
目录价
在线咨询
Description |
|---|
This gene encodes a ubiquitin-like-conjugating enzyme and is a component of ubiquitination-like systems involved in autophagy, the process of degradation, turnover and recycling of cytoplasmic constituents in eukaryotic cells. This protein is known to play a role in regulation of autophagy during cell death. A pseudogene of this gene is located on chromosome 20. Alternative splicing results in multiple transcript variants encoding different isoforms. |
References |
|---|
| 1.Mol Biol Rep. 2014;41(4):2093-9. 2.Apoptosis. 2012 Aug;17(8):810-20. |
Specification |
|
|---|---|
| Aliases | APG3; APG3L; PC3-96; APG3-LIKE |
| Entrez GeneID | 64422 |
| Swissprot | Q9NT62 |
| clone | 2C10A12 |
| WB Predicted band size | 35.9kDa |
| Host/Isotype | Mouse IgG1 |
| Antibody Type | Primary antibody |
| Storage | Store at 4°C short term. Aliquot and store at -20°C long term. Avoid freeze/thaw cycles. |
| Species Reactivity | Human |
| Immunogen | Purified recombinant fragment of human ATG3 (AA: 1-100) expressed in E. Coli. |
| Formulation | Purified antibody in PBS with 0.05% sodium azide |
Application |
|
|---|---|
| WB | 1/500 - 1/2000 |
| IHC | 1/200 - 1/1000 |
| IF | 1/200 - 1/1000 |
| FCM | 1/200 - 1/400 |
| ELISA | 1/10000 |
Product Image
-
Black line: Control Antigen (100 ng);Purple line: Antigen (10ng); Blue line: Antigen (50 ng); Red line:Antigen (100 ng)

-
Western blot analysis using ATG3 mouse mAb against K562 (1), Hela (2), and THP-1 (3) cell lysate.

-
Immunofluorescence analysis of SMMC-7721 cells using ATG3 mouse mAb (green). Blue: DRAQ5 fluorescent DNA dye. Red: Actin filaments have been labeled with Alexa Fluor- 555 phalloidin. Secondary antibody from Fisher (Cat#: 35503)

-
Flow cytometric analysis of Jurkat cells using ATG3 mouse mAb (green) and negative control (red).

-
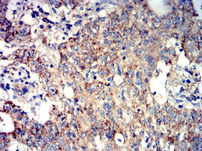
Immunohistochemical analysis of paraffin-embedded human stomach cancer tissues using ATG3 mouse mAb with DAB staining.

-
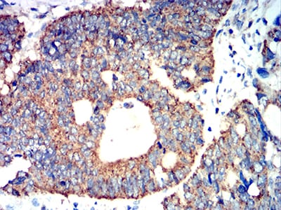
Immunohistochemical analysis of paraffin-embedded human rectum cancer tissues using ATG3 mouse mAb with DAB staining.







鄂公网安备42018502007531号

