Mouse Monoclonal Antibody to BCL11B
货号:
31219
别名:
ATL1; RIT1; CTIP2; IMD49; CTIP-2; ZNF856B; ATL1-beta; ATL1-alpha; ATL1-delta; ATL1-gamma; hRIT1-alpha
应用:
IHC,IF,FCM
反应种属:
Human
抗体类型:
Primary antibody
Swissprot:
Q9C0K0
规格:
目录价
在线咨询
Description |
|---|
This gene encodes a C2H2-type zinc finger protein and is closely related to BCL11A, a gene whose translocation may be associated with B-cell malignancies. Although the specific function of this gene has not been determined, the encoded protein is known to be a transcriptional repressor, and is regulated by the NURD nucleosome remodeling and histone deacetylase complex. Four alternatively spliced transcript variants encoding distinct isoforms have been found for this gene. |
References |
|---|
| 1.J Immunol. 2014 Sep 1;193(5):2059-65. 2.PLoS One. 2013;8(1):e55147. |
Specification |
|
|---|---|
| Aliases | ATL1; RIT1; CTIP2; IMD49; CTIP-2; ZNF856B; ATL1-beta; ATL1-alpha; ATL1-delta; ATL1-gamma; hRIT1-alpha |
| Entrez GeneID | 64919 |
| Swissprot | Q9C0K0 |
| clone | 1F8G8 |
| WB Predicted band size | 95.5kDa |
| Host/Isotype | Mouse IgG1 |
| Antibody Type | Primary antibody |
| Storage | Store at 4°C short term. Aliquot and store at -20°C long term. Avoid freeze/thaw cycles. |
| Species Reactivity | Human |
| Immunogen | Purified recombinant fragment of human BCL11B (AA: 1-150) expressed in E. Coli. |
| Formulation | Purified antibody in PBS with 0.05% sodium azide |
Application |
|
|---|---|
| IHC | 1/200 - 1/1000 |
| IF | 1/50 - 1/250 |
| FCM | 1/200 - 1/400 |
| ELISA | 1/10000 |
Product Image
-
Black line: Control Antigen (100 ng);Purple line: Antigen (10ng); Blue line: Antigen (50 ng); Red line:Antigen (100 ng)

-
Immunofluorescence analysis of Hela cells using BCL11B mouse mAb (green). Blue: DRAQ5 fluorescent DNA dye. Red: Actin filaments have been labeled with Alexa Fluor- 555 phalloidin. Secondary antibody from Fisher (Cat#: 35503)

-
Flow cytometric analysis of Hela cells using BCL11B mouse mAb (green) and negative control (red).

-
Flow cytometric analysis of Jurkat cells using BCL11B mouse mAb (green) and negative control (red).

-
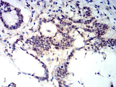
Immunohistochemical analysis of paraffin-embedded human colon cancer tissues using BCL11B mouse mAb with DAB staining.

-
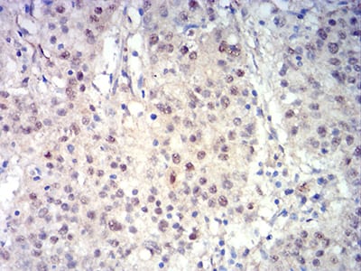
Immunohistochemical analysis of paraffin-embedded human stomach cancer tissues using BCL11B mouse mAb with DAB staining.







鄂公网安备42018502007531号

