Mouse Monoclonal Antibody to SMARCA1
货号:
31205
别名:
SWI; ISWI; SWI2; SNF2L; SNF2L1; SNF2LB; SNF2LT; hSNF2L; NURF140
应用:
WB,IHC,FCM
反应种属:
Human,Mouse
抗体类型:
Primary antibody
Swissprot:
P28370
规格:
目录价
在线咨询
Description |
|---|
This gene encodes a member of the SWI/SNF family of proteins. The encoded protein is an ATPase which is expressed in diverse tissues and contributes to the chromatin remodeling complex that is involved in transcription. The protein may also play a role in DNA damage, growth inhibition and apoptosis of cancer cells. Alternative splicing results in multiple transcript variants. |
References |
|---|
| 1.Yonsei Med J. 2013 May 1;54(3):772-7. 2.BMC Med Genet. 2008 Feb 26;9:11. |
Specification |
|
|---|---|
| Aliases | SWI; ISWI; SWI2; SNF2L; SNF2L1; SNF2LB; SNF2LT; hSNF2L; NURF140 |
| Entrez GeneID | 6594 |
| Swissprot | P28370 |
| clone | 2H7B9 |
| WB Predicted band size | 122.6kDa |
| Host/Isotype | Mouse IgG1 |
| Antibody Type | Primary antibody |
| Storage | Store at 4°C short term. Aliquot and store at -20°C long term. Avoid freeze/thaw cycles. |
| Species Reactivity | Human,Mouse |
| Immunogen | Purified recombinant fragment of human SMARCA1 (AA: 933-1070) expressed in E. Coli. |
| Formulation | Purified antibody in PBS with 0.05% sodium azide |
Application |
|
|---|---|
| WB | 1/500 - 1/2000 |
| IHC | 1/200 - 1/1000 |
| FCM | 1/200 - 1/400 |
| ELISA | 1/10000 |
Product Image
-
Black line: Control Antigen (100 ng);Purple line: Antigen (10ng); Blue line: Antigen (50 ng); Red line:Antigen (100 ng)

-
Western blot analysis using SMARCA1 mouse mAb against PANC-1 (1), HEK293 (2), SW620 (3), HT-29 (4), SH-SY5Y (5), and SK-OV-3 (6) cell lysate.

-
Flow cytometric analysis of NIH/3T3 cells using SMARCA1 mouse mAb (green) and negative control (red).

-
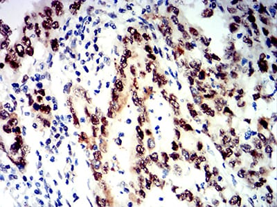
Immunohistochemical analysis of paraffin-embedded human esophageal cancer tissues using SMARCA1 mouse mAb with DAB staining.

-
Immunohistochemical analysis of paraffin-embedded human stomach cancer tissues using SMARCA1 mouse mAb with DAB staining.






鄂公网安备42018502007531号

