Mouse Monoclonal Antibody to RUNX3
货号:
31207
别名:
AML2; CBFA3; PEBP2aC
应用:
IHC,IF,FCM
反应种属:
Human
抗体类型:
Primary antibody
Swissprot:
Q13761
规格:
目录价
在线咨询
Description |
|---|
This gene encodes a member of the runt domain-containing family of transcription factors. A heterodimer of this protein and a beta subunit forms a complex that binds to the core DNA sequence 5'-PYGPYGGT-3' found in a number of enhancers and promoters, and can either activate or suppress transcription. It also interacts with other transcription factors. It functions as a tumor suppressor, and the gene is frequently deleted or transcriptionally silenced in cancer. Alternative splicing results in multiple transcript variants. |
References |
|---|
| 1.Genet Mol Res. 2015 Dec 1;14(4):15505-10. 2.J Pathol. 2015 Dec;237(4):520-31. |
Specification |
|
|---|---|
| Aliases | AML2; CBFA3; PEBP2aC |
| Entrez GeneID | 864 |
| Swissprot | Q13761 |
| clone | 7E2B8 |
| WB Predicted band size | 44.4kDa |
| Host/Isotype | Mouse IgG2b |
| Antibody Type | Primary antibody |
| Storage | Store at 4°C short term. Aliquot and store at -20°C long term. Avoid freeze/thaw cycles. |
| Species Reactivity | Human |
| Immunogen | Purified recombinant fragment of human RUNX3 (AA: 294-429) expressed in E. Coli. |
| Formulation | Purified antibody in PBS with 0.05% sodium azide |
Application |
|
|---|---|
| IHC | 1/200 - 1/1000 |
| IF | 1/50 - 1/250 |
| FCM | 1/200 - 1/400 |
| ELISA | 1/10000 |
Product Image
-
Black line: Control Antigen (100 ng);Purple line: Antigen (10ng); Blue line: Antigen (50 ng); Red line:Antigen (100 ng)

-
Immunofluorescence analysis of Hela cells using RUNX3 mouse mAb (green). Blue: DRAQ5 fluorescent DNA dye. Red: Actin filaments have been labeled with Alexa Fluor- 555 phalloidin. Secondary antibody from Fisher (Cat#: 35503)

-
Flow cytometric analysis of Hela cells using RUNX3 mouse mAb (green) and negative control (red).

-
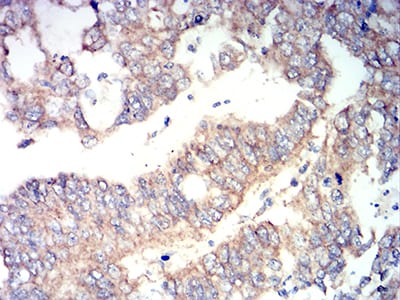
Immunohistochemical analysis of paraffin-embedded human esophageal cancer tissues using RUNX3 mouse mAb with DAB staining.

-
Immunohistochemical analysis of paraffin-embedded human stomach cancer tissues using RUNX3 mouse mAb with DAB staining.






鄂公网安备42018502007531号

