Mouse Monoclonal Antibody to CHRNA6
货号:
31226
别名:
CHNRA6
应用:
IHC,IF,FCM
反应种属:
Human
抗体类型:
Primary antibody
Swissprot:
Q15825
规格:
目录价
在线咨询
Description |
|---|
This gene encodes an alpha subunit of neuronal nicotinic acetylcholine receptors. These receptors consist of five subunits and function as ion channels involved in neurotransmission. The encoded protein is a subunit of neuronal nicotinic acetylcholine receptors that mediate dopaminergic neurotransmission and are activated by acetylcholine and exogenous nicotine. Alternatively spliced transcript variants have been observed for this gene. Single nucleotide polymorphisms in this gene have been associated with both nicotine and alcohol dependence. |
References |
|---|
| 1.Mol Brain. 2014 May 2;7:35. 2.Mol Psychiatry. 2010 Jan;15(1):6-8. |
Specification |
|
|---|---|
| Aliases | CHNRA6 |
| Entrez GeneID | 8973 |
| Swissprot | Q15825 |
| clone | 5B6G8 |
| WB Predicted band size | 57kDa |
| Host/Isotype | Mouse IgG1 |
| Antibody Type | Primary antibody |
| Storage | Store at 4°C short term. Aliquot and store at -20°C long term. Avoid freeze/thaw cycles. |
| Species Reactivity | Human |
| Immunogen | Purified recombinant fragment of human CHRNA6 (AA: 26-239) expressed in E. Coli. |
| Formulation | Purified antibody in PBS with 0.05% sodium azide |
Application |
|
|---|---|
| IHC | 1/200 - 1/1000 |
| IF | 1/100 - 1/500 |
| FCM | 1/200 - 1/400 |
| ELISA | 1/10000 |
Product Image
-
Black line: Control Antigen (100 ng);Purple line: Antigen (10ng); Blue line: Antigen (50 ng); Red line:Antigen (100 ng)

-
Immunofluorescence analysis of Hela cells using CHRNA6 mouse mAb (green). Blue: DRAQ5 fluorescent DNA dye. Red: Actin filaments have been labeled with Alexa Fluor- 555 phalloidin. Secondary antibody from Fisher (Cat#: 35503)

-
Flow cytometric analysis of SH-SY5Y cells using CHRNA6 mouse mAb (green) and negative control (red).

-
Flow cytometric analysis of SK-N-SH cells using CHRNA6 mouse mAb (green) and negative control (red).

-
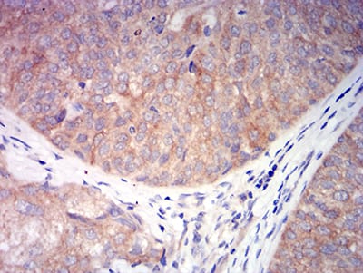
Immunohistochemical analysis of paraffin-embedded human bladder cancer tissues using CHRNA6 mouse mAb with DAB staining.






鄂公网安备42018502007531号

