Mouse Monoclonal Antibody to Phospho-4E-BP1 (Ser65)
货号:
31174
别名:
EIF4EBP1; BP-1; 4EBP1; 4E-BP1; PHAS-I
应用:
IHC,IF,FCM
反应种属:
Human
抗体类型:
Primary antibody
Swissprot:
Q13541
规格:
目录价
在线咨询
Description |
|---|
This gene encodes one member of a family of translation repressor proteins. The protein directly interacts with eukaryotic translation initiation factor 4E (eIF4E), which is a limiting component of the multisubunit complex that recruits 40S ribosomal subunits to the 5' end of mRNAs. Interaction of this protein with eIF4E inhibits complex assembly and represses translation. This protein is phosphorylated in response to various signals including UV irradiation and insulin signaling, resulting in its dissociation from eIF4E and activation of mRNA translation. |
References |
|---|
| 1.Sci Signal. 2015 Nov 17;8(403):ra116. 2.Oncotarget. 2015 Sep 15;6(27):24092-104. |
Specification |
|
|---|---|
| Aliases | EIF4EBP1; BP-1; 4EBP1; 4E-BP1; PHAS-I |
| Entrez GeneID | 1978 |
| Swissprot | Q13541 |
| clone | 1E2E7 |
| WB Predicted band size | 12.6kDa |
| Host/Isotype | Mouse IgG1 |
| Antibody Type | Primary antibody |
| Storage | Store at 4°C short term. Aliquot and store at -20°C long term. Avoid freeze/thaw cycles. |
| Species Reactivity | Human |
| Immunogen | Synthesized peptide of human Phospho-4E-BP1 (Ser65). |
| Formulation | Purified antibody in PBS with 0.05% sodium azide |
Application |
|
|---|---|
| IHC | 1/200 - 1/1000 |
| IF | 1/100 - 1/500 |
| FCM | 1/200 - 1/400 |
| ELISA | 1/10000 |
Product Image
-
Black line: Control Antigen (100 ng);Purple line: Antigen (10ng); Blue line: Antigen (50 ng); Red line:Antigen (100 ng)

-
Immunofluorescence analysis of Hela cells using Phospho-4E-BP1 (Ser65) mouse mAb (green). Blue: DRAQ5 fluorescent DNA dye. Red: Actin filaments have been labeled with Alexa Fluor- 555 phalloidin. Secondary antibody from Fisher (Cat#: 35503)

-
Flow cytometric analysis of Jurkat cells using Phospho-4E-BP1 (Ser65) mouse mAb (green) and negative control (red).

-
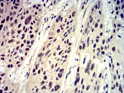
Immunohistochemical analysis of paraffin-embedded human bladder cancer tissues using Phospho-4E-BP1 (Ser65) mouse mAb with DAB staining.

-
Immunohistochemical analysis of paraffin-embedded human esophageal cancer tissues using Phospho-4E-BP1 (Ser65) mouse mAb with DAB staining.






鄂公网安备42018502007531号

