Mouse Monoclonal Antibody to PRKAA2
货号:
31178
别名:
AMPK; AMPK2; PRKAA; AMPKa2
应用:
WB,IHC,IF,FCM
反应种属:
Human,Mouse,Rat,Monkey,Rabbit
抗体类型:
Primary antibody
Swissprot:
P54646
规格:
目录价
在线咨询
Description |
|---|
The protein encoded by this gene is a catalytic subunit of the AMP-activated protein kinase (AMPK). AMPK is a heterotrimer consisting of an alpha catalytic subunit, and non-catalytic beta and gamma subunits. AMPK is an important energy-sensing enzyme that monitors cellular energy status. In response to cellular metabolic stresses, AMPK is activated, and thus phosphorylates and inactivates acetyl-CoA carboxylase (ACC) and beta-hydroxy beta-methylglutaryl-CoA reductase (HMGCR), key enzymes involved in regulating de novo biosynthesis of fatty acid and cholesterol. Studies of the mouse counterpart suggest that this catalytic subunit may control whole-body insulin sensitivity and is necessary for maintaining myocardial energy homeostasis during ischemia. |
References |
|---|
| 1.Pathobiology. 2015;82(5):203-11. 2.Acta Crystallogr D Biol Crystallogr. 2011 May;67(Pt 5):480-7. |
Specification |
|
|---|---|
| Aliases | AMPK; AMPK2; PRKAA; AMPKa2 |
| Entrez GeneID | 5563 |
| Swissprot | P54646 |
| clone | 8E11H5 |
| WB Predicted band size | 62.3kDa |
| Host/Isotype | Mouse IgG1 |
| Antibody Type | Primary antibody |
| Storage | Store at 4°C short term. Aliquot and store at -20°C long term. Avoid freeze/thaw cycles. |
| Species Reactivity | Human,Mouse,Rat,Monkey,Rabbit |
| Immunogen | Purified recombinant fragment of human PRKAA2 (AA: 453-552) expressed in E. Coli. |
| Formulation | Purified antibody in PBS with 0.05% sodium azide |
Application |
|
|---|---|
| WB | 1/500 - 1/2000 |
| IHC | 1/100 - 1/500 |
| IF | 1/50 - 1/500 |
| FCM | 1/200 - 1/400 |
| ELISA | 1/10000 |
Product Image
-
Black line: Control Antigen (100 ng);Purple line: Antigen (10ng); Blue line: Antigen (50 ng); Red line:Antigen (100 ng)

-
Western blot analysis using PRKAA2 mouse mAb against HEK293 (1) and COS7 (2) cell lysate.

-
Western blot analysis using PRKAA2 mouse mAb against Mouse liver(1)PC-12(2)NIH/3T3(3)NRK(4)C2C12(5)C6(6)cell lysate.

-
Immunofluorescence analysis of NIH/3T3 cells using PRKAA2 mouse mAb (green). Blue: DRAQ5 fluorescent DNA dye. Red: Actin filaments have been labeled with Alexa Fluor- 555 phalloidin.

-
Flow cytometric analysis of Jurkat cells using PRKAA2 mouse mAb (green) and negative control (red).

-
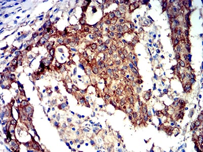
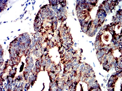
Immunohistochemical analysis of paraffin-embedded human stomach cancer tissues using PRKAA2 mouse mAb with DAB staining.

-
Immunohistochemical analysis of paraffin-embedded human rectum cancer tissues using PRKAA2 mouse mAb with DAB staining.

-
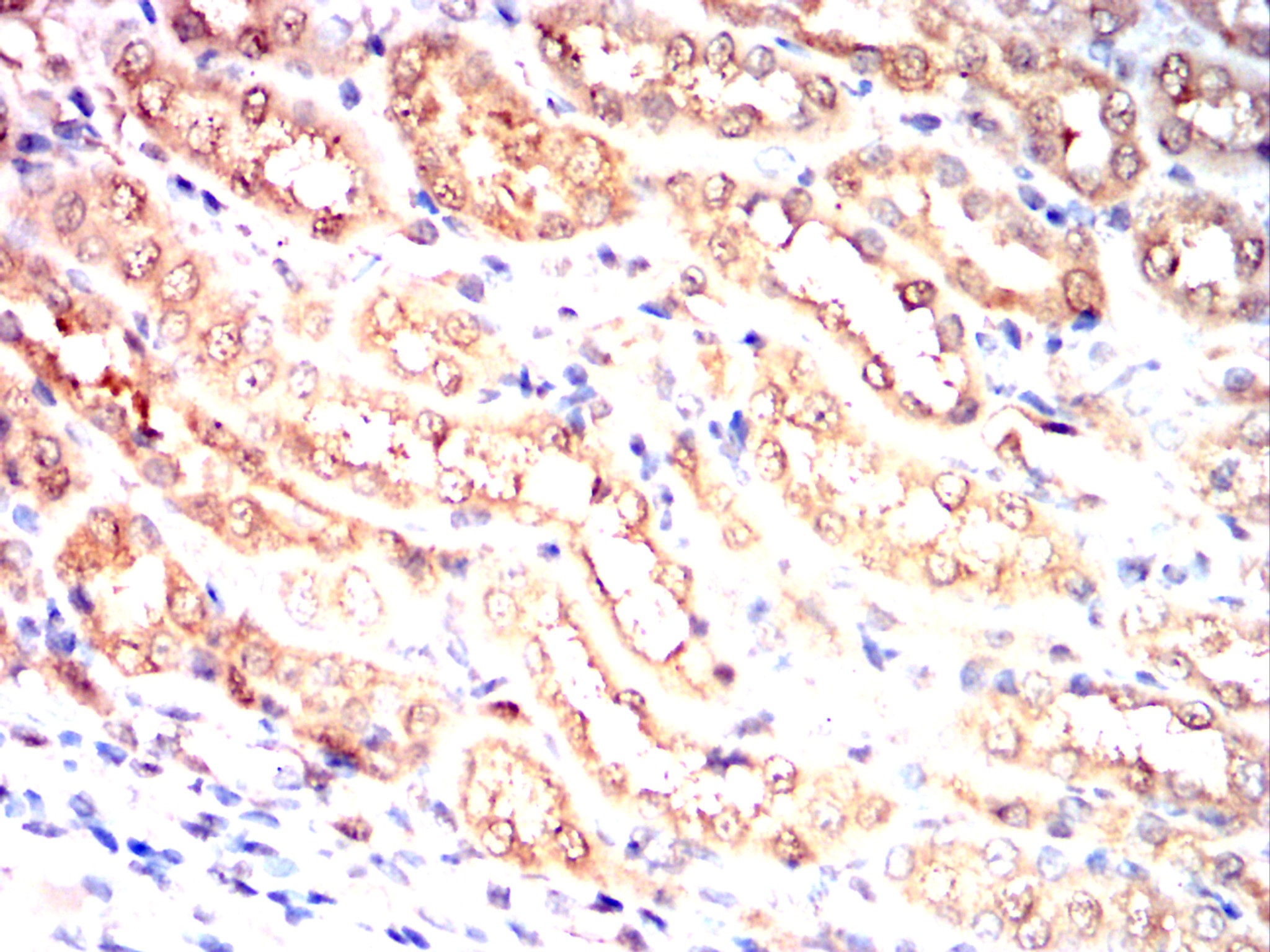
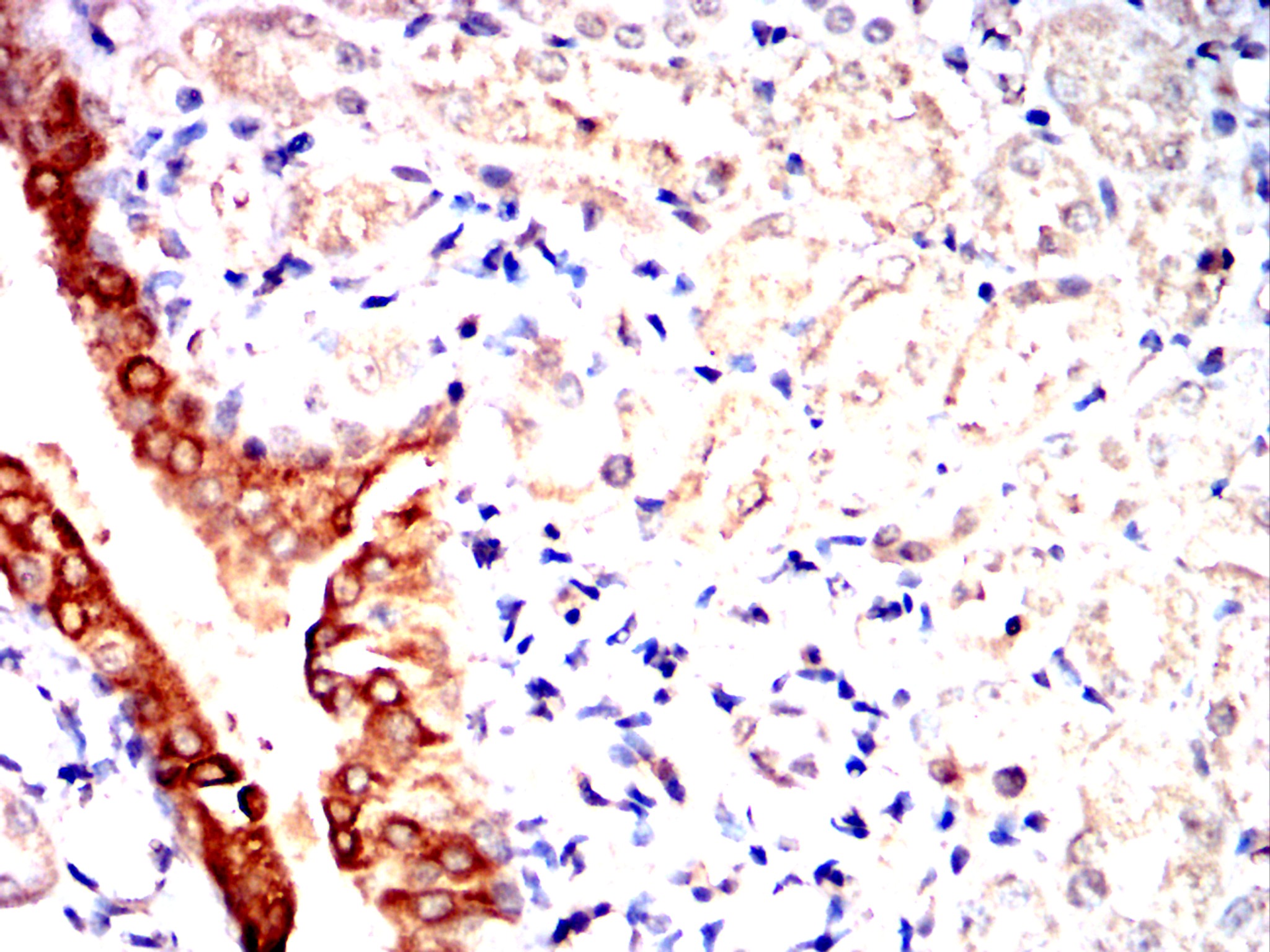
Immunohistochemical analysis of paraffin-embedded Mouse kidney using PRKAA2 mouse mAb with DAB staining.

-
Immunohistochemical analysis of paraffin-embedded Rat kidney using PRKAA2 mouse mAb with DAB staining.

-
Immunohistochemical analysis of paraffin-embedded Rabbit kidney using PRKAA2 mouse mAb with DAB staining.











鄂公网安备42018502007531号

