Mouse Monoclonal Antibody to ASH2L
货号:
31165
别名:
ASH2; Bre2; ASH2L1; ASH2L2
应用:
WB,IHC,FCM
反应种属:
Human,Mouse
抗体类型:
Primary antibody
Swissprot:
Q9UBL3
规格:
目录价
在线咨询
Description |
|---|
ASH2L (Ash2 (Absent, Small, Or Homeotic)-Like (Drosophila)) is a Protein Coding gene. Diseases associated with ASH2L include Kabuki Syndrome 1. Among its related pathways are Developmental Biology and Signaling by Wnt. GO annotations related to this gene include transcription regulatory region DNA binding and histone methyltransferase activity (H3-K4 specific). |
References |
|---|
| 1.Mol Cell. 2013 Mar 28;49(6):1108-20. 2.Nat Struct Mol Biol. 2006 Sep;13(9):852-4. |
Specification |
|
|---|---|
| Aliases | ASH2; Bre2; ASH2L1; ASH2L2 |
| Entrez GeneID | 9070 |
| Swissprot | Q9UBL3 |
| clone | 6F6B9 |
| WB Predicted band size | 68.7kDa |
| Host/Isotype | Mouse IgG1 |
| Antibody Type | Primary antibody |
| Storage | Store at 4°C short term. Aliquot and store at -20°C long term. Avoid freeze/thaw cycles. |
| Species Reactivity | Human,Mouse |
| Immunogen | Purified recombinant fragment of human ASH2L (AA: 493-628) expressed in E. Coli. |
| Formulation | Purified antibody in PBS with 0.05% sodium azide |
Application |
|
|---|---|
| WB | 1/500 - 1/2000 |
| IHC | 1/200 - 1/1000 |
| FCM | 1/200 - 1/400 |
| ELISA | 1/10000 |
Product Image
-
Black line: Control Antigen (100 ng);Purple line: Antigen (10ng); Blue line: Antigen (50 ng); Red line:Antigen (100 ng)

-
Western blot analysis using ASH2L mouse mAb against K562 (1) and F9 (2) cell lysate.

-
Flow cytometric analysis of K562 cells using ASH2L mouse mAb (green) and negative control (red).

-
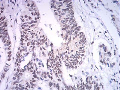
Immunohistochemical analysis of paraffin-embedded human colon cancer tissues using ASH2L mouse mAb with DAB staining.

-
Immunohistochemical analysis of paraffin-embedded human rectum cancer tissues using ASH2L mouse mAb with DAB staining.






鄂公网安备42018502007531号

