Mouse Monoclonal Antibody to ESR1
货号:
31154
别名:
ER; ESR; Era; ESRA; ESTRR; NR3A1
应用:
WB,IHC,IF,FCM
反应种属:
Human,Mouse,Rat,Rabbit
抗体类型:
Primary antibody
Swissprot:
P03372
规格:
目录价
在线咨询
Description |
|---|
This gene encodes an estrogen receptor, a ligand-activated transcription factor composed of several domains important for hormone binding, DNA binding, and activation of transcription. The protein localizes to the nucleus where it may form a homodimer or a heterodimer with estrogen receptor 2. Estrogen and its receptors are essential for sexual development and reproductive function, but also play a role in other tissues such as bone. Estrogen receptors are also involved in pathological processes including breast cancer, endometrial cancer, and osteoporosis. Alternative promoter usage and alternative splicing result in dozens of transcript variants, but the full-length nature of many of these variants has not been determined. |
References |
|---|
| 1.Tumour Biol. 2015 Aug;36(8):6349-59. 2.Breast Cancer Res. 2014 Dec 12;16(6):494. |
Specification |
|
|---|---|
| Aliases | ER; ESR; Era; ESRA; ESTRR; NR3A1 |
| Entrez GeneID | 2099 |
| Swissprot | P03372 |
| clone | 6A6E8 |
| WB Predicted band size | 66.2kDa |
| Host/Isotype | Mouse IgG1 |
| Antibody Type | Primary antibody |
| Storage | Store at 4°C short term. Aliquot and store at -20°C long term. Avoid freeze/thaw cycles. |
| Species Reactivity | Human,Mouse,Rat,Rabbit |
| Immunogen | Purified recombinant fragment of human ESR1 (AA: 2-185) expressed in E. Coli. |
| Formulation | Purified antibody in PBS with 0.05% sodium azide |
Application |
|
|---|---|
| WB | 1/500 - 1/2000 |
| IHC | 1/100 - 1/500 |
| IF | 1/50 - 1/500 |
| FCM | 1/200 - 1/400 |
| ELISA | 1/10000 |
Product Image
-
Black line: Control Antigen (100 ng);Purple line: Antigen (10ng); Blue line: Antigen (50 ng); Red line:Antigen (100 ng)

-
Western blot analysis using ESR1 mouse mAb against MOLT4 (1), Raji (2), MCF-7 (3), T47D (4), SK-Br-3 (5), Hela (6), and C6 (7) cell lysate.

-
Western blot analysis using ESR1 mouse mAb against PC-12(1)Raw264.7(2)NIH/3T3(3)NRK(4)C2C12(5)C6(6)L1210(7)F9(8)COS-7(9) cell lysate.

-
Immunofluorescence analysis of Hela cells using ESR1 mouse mAb. Blue: DRAQ5 fluorescent DNA dye. Red: Actin filaments have been labeled with Alexa Fluor- 555 phalloidin.

-
Immunofluorescence analysis of Hela cells using ESR1 mouse mAb (green). Blue: DRAQ5 fluorescent DNA dye. Red: Actin filaments have been labeled with Alexa Fluor- 555 phalloidin. Secondary antibody from Fisher (Cat#: 35503)

-
Immunofluorescence analysis of Hela cells using ESR1 mouse mAb (green). Blue: DRAQ5 fluorescent DNA dye. Red: Actin filaments have been labeled with Alexa Fluor- 555 phalloidin.

-
Immunofluorescence analysis of COS7 cells using ESR1 mouse mAb (green). Blue: DRAQ5 fluorescent DNA dye. Red: Actin filaments have been labeled with Alexa Fluor- 555 phalloidin.

-
Flow cytometric analysis of Hela cells using ESR1 mouse mAb (green) and negative control (red).

-
Immunohistochemical analysis of paraffin-embedded human breast cancer tissues using ESR1 mouse mAb with DAB staining.

-
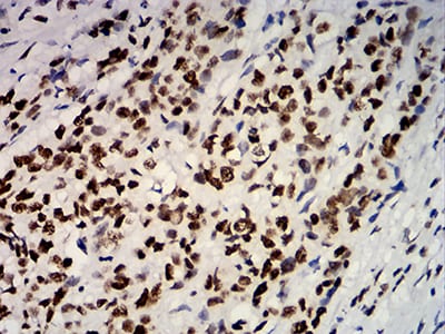
Immunohistochemical analysis of paraffin-embedded human esophageal cancer tissues using ESR1 mouse mAb with DAB staining.

-
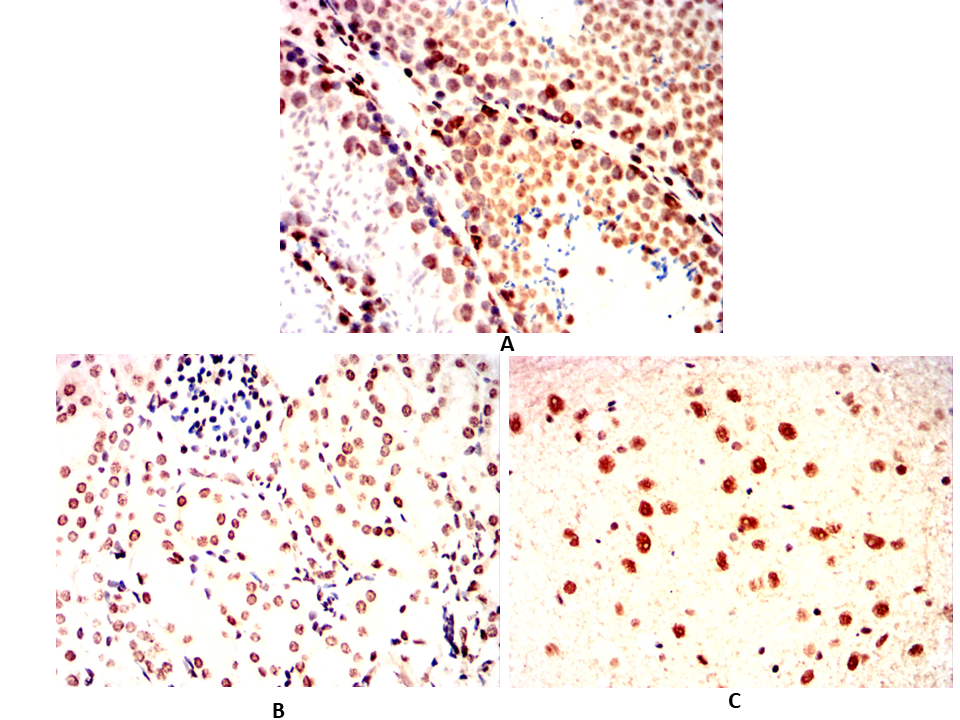
Immunohistochemical analysis of paraffin-embedded Mouse testicles(A)Mouse kidney(B)Mouse cerebellum(C) using ESR1 mouse mAb with DAB staining.

-
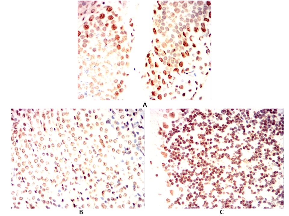
Immunohistochemical analysis of paraffin-embedded Rat testicles(A)Rat kidney(B)Rat cerebellum(C) using ESR1 mouse mAb with DAB staining.

-
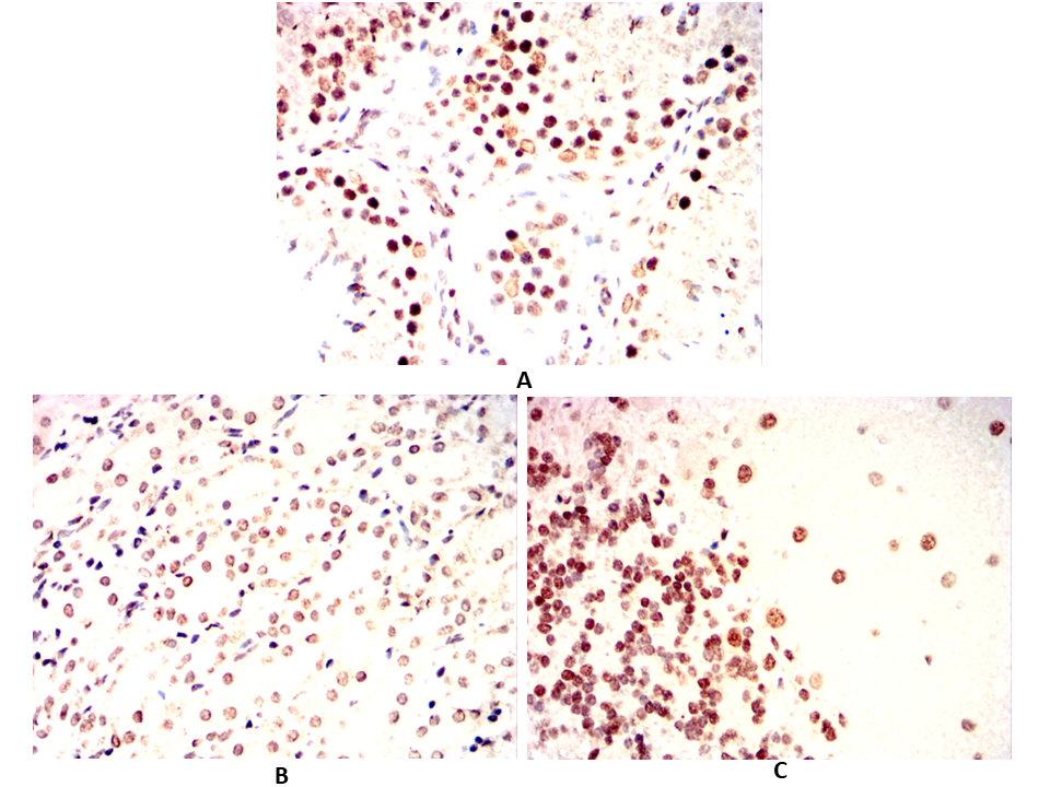
Immunohistochemical analysis of paraffin-embedded Rabbit testicles(A)Rabbit cerebellum(B)Rabbit kidney(C) using ESR1 mouse mAb with DAB staining.














鄂公网安备42018502007531号

