Mouse Monoclonal Antibody to ANAPC10
货号:
31140
别名:
DOC1; APC10
应用:
WB,IHC,IF,FCM
反应种属:
Human
抗体类型:
Primary antibody
Swissprot:
Q9UM13
规格:
目录价
在线咨询
Description |
|---|
ANAPC10 is a core subunit of the anaphase-promoting complex (APC), or cyclosome, a ubiquitin protein ligase that is essential for progression through the cell cycle. APC initiates sister chromatid separation by ubiquitinating the anaphase inhibitor securin (PTTG1; MIM 604147) and triggers exit from mitosis by ubiquitinating cyclin B (CCNB1; MIM 123836), the activating subunit of cyclin-dependent kinase-1 (CDK1; MIM 116940) (summary by Wendt et al., 2001 [PubMed 11524682]). |
References |
|---|
| 1.BMC Cell Biol. 2004 May 16;5:20. 2.Nat Struct Biol. 2001 Sep;8(9):784-8. |
Specification |
|
|---|---|
| Aliases | DOC1; APC10 |
| Entrez GeneID | 10393 |
| Swissprot | Q9UM13 |
| clone | 8F1D10 |
| WB Predicted band size | 21.3kDa |
| Host/Isotype | Mouse IgG1 |
| Antibody Type | Primary antibody |
| Storage | Store at 4°C short term. Aliquot and store at -20°C long term. Avoid freeze/thaw cycles. |
| Species Reactivity | Human |
| Immunogen | Purified recombinant fragment of human ANAPC10 (AA: 1-185) expressed in E. Coli. |
| Formulation | Purified antibody in PBS with 0.05% sodium azide |
Application |
|
|---|---|
| WB | 1/500 - 1/2000 |
| IHC | 1/200 - 1/1000 |
| IF | 1/200 - 1/1000 |
| FCM | 1/200 - 1/400 |
| ELISA | 1/10000 |
Product Image
-
Black line: Control Antigen (100 ng);Purple line: Antigen (10ng); Blue line: Antigen (50 ng); Red line:Antigen (100 ng)

-
Western blot analysis using ANAPC10 mouse mAb against Hela (1), MCF-7 (2), SK-Br-3 (3), A431 (4), HEK293 (5), A549 (6), and SPC-A-1 (7) cell lysate.

-
Immunofluorescence analysis of Hela cells using ANAPC10 mouse mAb. Blue: DRAQ5 fluorescent DNA dye. Red: Actin filaments have been labeled with Alexa Fluor- 555 phalloidin.

-
Immunofluorescence analysis of Hela cells using ANAPC10 mouse mAb (green). Blue: DRAQ5 fluorescent DNA dye. Red: Actin filaments have been labeled with Alexa Fluor- 555 phalloidin. Secondary antibody from Fisher (Cat#: 35503)

-
Flow cytometric analysis of Hela cells using ANAPC10 mouse mAb (green) and negative control (red).

-
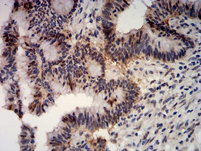
Immunohistochemical analysis of paraffin-embedded human colon cancer tissues using ANAPC10 mouse mAb with DAB staining.

-
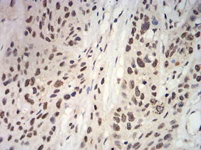
Immunohistochemical analysis of paraffin-embedded human esophageal cancer tissues using ANAPC10 mouse mAb with DAB staining.








鄂公网安备42018502007531号

