Mouse Monoclonal Antibody to VP2
货号:
31111
别名:
应用:
WB,IHC,IF,FCM
反应种属:
Human
抗体类型:
Primary antibody
Swissprot:
规格:
目录价
在线咨询
Description |
|---|
Human parvovirus B19 (B19) is an erythrovirus responsible for acute and chronic anemia in susceptible patients. The virus replicates, both in vivo and in vitro, in the nucleus of the erythroid progenitors. The viral capsid is composed of two viral proteins, VP1 and VP2, the latter making up almost 96% of the viral capsid proteins |
References |
|---|
| 1.Volume 306, Issue 1, 1 February 2003, Pages 25-32 |
Specification |
|
|---|---|
| Entrez GeneID | 11293627 |
| clone | 4E5A4 |
| WB Predicted band size | 61kDa |
| Host/Isotype | Mouse IgG1 |
| Antibody Type | Primary antibody |
| Storage | Store at 4°C short term. Aliquot and store at -20°C long term. Avoid freeze/thaw cycles. |
| Species Reactivity | Human |
| Immunogen | Purified recombinant fragment of human VP2 (AA: 296-438) expressed in E. Coli. |
| Formulation | Purified antibody in PBS with 0.05% sodium azide |
Application |
|
|---|---|
| WB | 1/500 - 1/2000 |
| IHC | 1/200 - 1/1000 |
| IF | 1/200 - 1/1000 |
| FCM | 1/200 - 1/400 |
| ELISA | 1/10000 |
Product Image
-
Black line: Control Antigen (100 ng);Purple line: Antigen (10ng); Blue line: Antigen (50 ng); Red line:Antigen (100 ng)

-
Western blot analysis using VP2 mouse mAb against A431 (1) and BCBL-1 (2) cell lysate.

-
Immunofluorescence analysis of Hela cells using VP2 mouse mAb (green). Blue: DRAQ5 fluorescent DNA dye. Red: Actin filaments have been labeled with Alexa Fluor- 555 phalloidin. Secondary antibody from Fisher (Cat#: 35503)

-
Flow cytometric analysis of Hela cells using VP2 mouse mAb (green) and negative control (red).

-
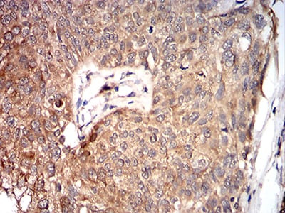
Immunohistochemical analysis of paraffin-embedded human bladder cancer tissues using VP2 mouse mAb with DAB staining.






鄂公网安备42018502007531号

