Mouse Monoclonal Antibody to P2RX7
货号:
31128
别名:
P2X7
应用:
WB,IHC,FCM
反应种属:
Human,Mouse,Rabbit
抗体类型:
Primary antibody
Swissprot:
Q99572
规格:
目录价
在线咨询
Description |
|---|
The product of this gene belongs to the family of purinoceptors for ATP. This receptor functions as a ligand-gated ion channel and is responsible for ATP-dependent lysis of macrophages through the formation of membrane pores permeable to large molecules. Activation of this nuclear receptor by ATP in the cytoplasm may be a mechanism by which cellular activity can be coupled to changes in gene expression. Multiple alternatively spliced variants have been identified, most of which fit nonsense-mediated decay (NMD) criteria. |
References |
|---|
| 1.Cancer Sci. 2015 Sep;106(9):1224-31. 2.J Hypertens. 2013 Dec;31(12):2362-9. |
Specification |
|
|---|---|
| Aliases | P2X7 |
| Entrez GeneID | 5027 |
| Swissprot | Q99572 |
| clone | 7G1D6 |
| WB Predicted band size | 68.6kDa |
| Host/Isotype | Mouse IgG2b |
| Antibody Type | Primary antibody |
| Storage | Store at 4°C short term. Aliquot and store at -20°C long term. Avoid freeze/thaw cycles. |
| Species Reactivity | Human,Mouse,Rabbit |
| Immunogen | Purified recombinant fragment of human P2RX7 (AA: 226-452) expressed in E. Coli. |
| Formulation | Purified antibody in PBS with 0.05% sodium azide |
Application |
|
|---|---|
| WB | 1/500 - 1/2000 |
| IHC | 1/200 - 1/1000 |
| FCM | 1/200 - 1/400 |
| ELISA | 1/10000 |
Product Image
-
Black line: Control Antigen (100 ng);Purple line: Antigen (10ng); Blue line: Antigen (50 ng); Red line:Antigen (100 ng)

-
Western blot analysis using P2RX7 mouse mAb against A431 (1), U251 (2), Hela (3), U937 (4), and HepG2 (5) cell lysate.

-
Flow cytometric analysis of Hela cells using P2RX7 mouse mAb (green) and negative control (red).

-
Immunohistochemical analysis of paraffin-embedded human esophageal cancer tissues using P2RX7 mouse mAb with DAB staining.

-
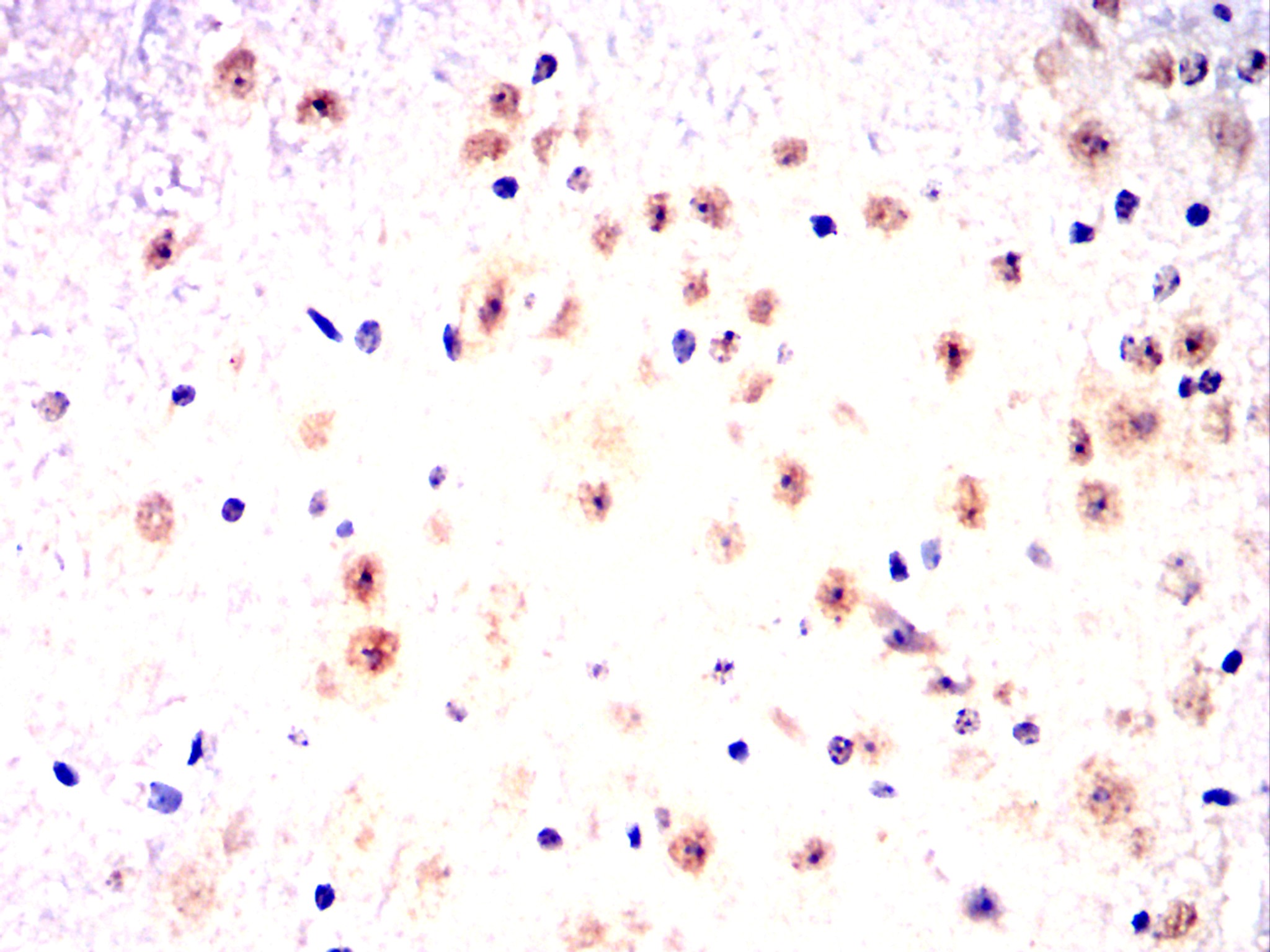
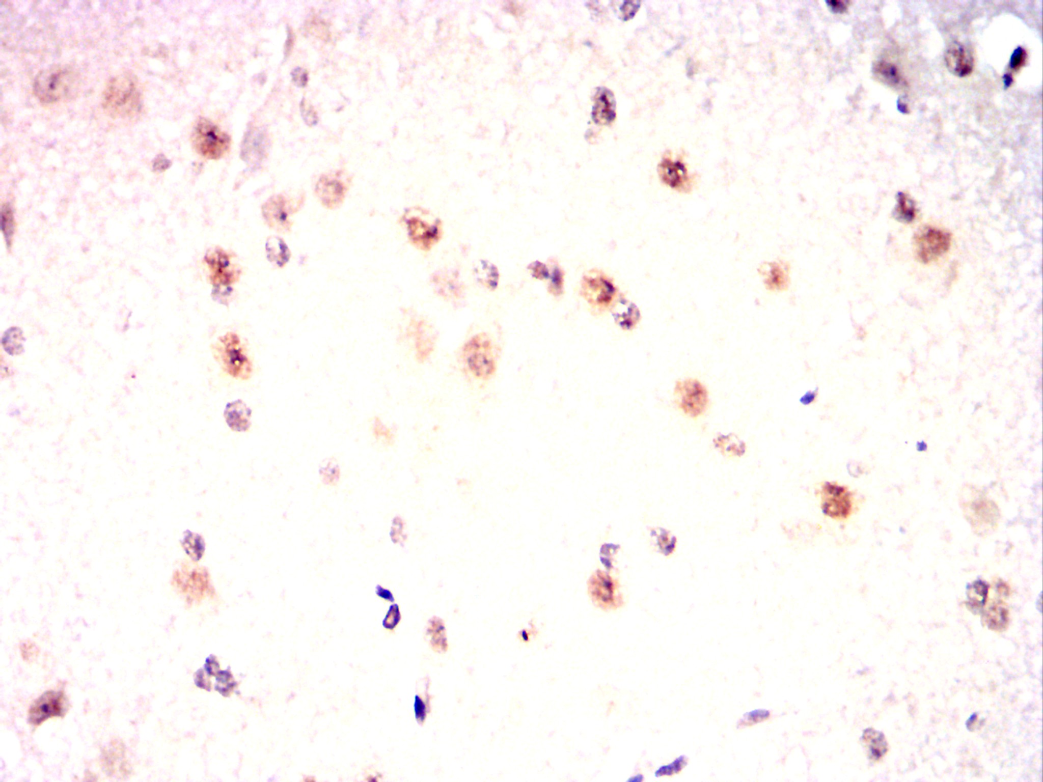
Immunohistochemical analysis of paraffin-embedded Mouse cerebellum using P2RX7 mouse mAb with DAB staining.

-
Immunohistochemical analysis of paraffin-embedded Mouse brain using P2RX7 mouse mAb with DAB staining.

-
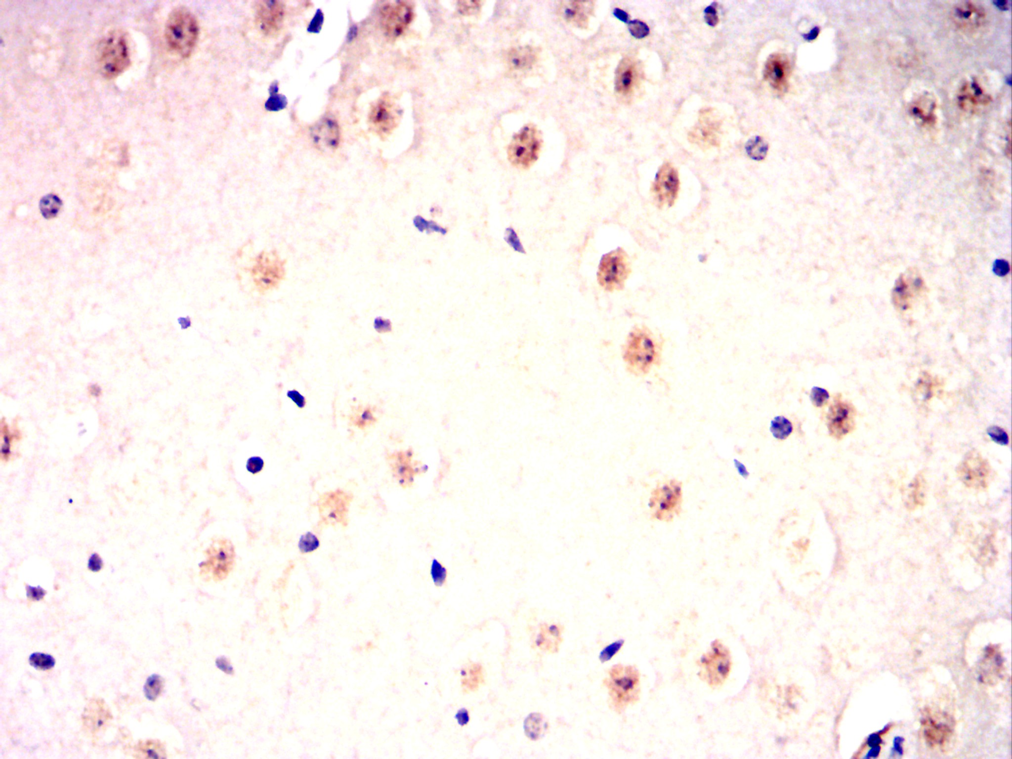
Immunohistochemical analysis of paraffin-embedded Rabbit cerebellum using P2RX7 mouse mAb with DAB staining.

-
Immunohistochemical analysis of paraffin-embedded Rabbit brain using P2RX7 mouse mAb with DAB staining.









鄂公网安备42018502007531号

