Mouse Monoclonal Antibody to HLA-B
货号:
31115
别名:
AS; HLAB; Bw-47; Bw-50; SPDA1; B-4901; B-5001; HLA-Cw;
应用:
WB,IHC,FCM
反应种属:
Human
抗体类型:
Primary antibody
Swissprot:
P01889
规格:
目录价
在线咨询
Description |
|---|
HLA-B belongs to the HLA class I heavy chain paralogues. This class I molecule is a heterodimer consisting of a heavy chain and a light chain (beta-2 microglobulin). The heavy chain is anchored in the membrane. Class I molecules play a central role in the immune system by presenting peptides derived from the endoplasmic reticulum lumen. They are expressed in nearly all cells. The heavy chain is approximately 45 kDa and its gene contains 8 exons. Exon 1 encodes the leader peptide, exon 2 and 3 encode the alpha1 and alpha2 domains, which both bind the peptide, exon 4 encodes the alpha3 domain, exon 5 encodes the transmembrane region and exons 6 and 7 encode the cytoplasmic tail. Polymorphisms within exon 2 and exon 3 are responsible for the peptide binding specificity of each class one molecule. Typing for these polymorphisms is routinely done for bone marrow and kidney transplantation. Hundreds of HLA-B alleles have been described. |
References |
|---|
| 1.Pharmacogenomics J. 2015 Oct;15(5):467-72. 2.J Immunol. 2014 Jun 1;192(11):4967-76. |
Specification |
|
|---|---|
| Aliases | AS; HLAB; Bw-47; Bw-50; SPDA1; B-4901; B-5001; HLA-Cw; |
| Entrez GeneID | 3106 |
| Swissprot | P01889 |
| clone | 2A11G7 |
| WB Predicted band size | 40.5kDa |
| Host/Isotype | Mouse IgG1 |
| Antibody Type | Primary antibody |
| Storage | Store at 4°C short term. Aliquot and store at -20°C long term. Avoid freeze/thaw cycles. |
| Species Reactivity | Human |
| Immunogen | Purified recombinant fragment of human HLA-B (AA: 241-362) expressed in E. Coli. |
| Formulation | Purified antibody in PBS with 0.05% sodium azide |
Application |
|
|---|---|
| WB | 1/500 - 1/2000 |
| IHC | 1/200 - 1/1000 |
| FCM | 1/200 - 1/400 |
| ELISA | 1/10000 |
Product Image
-
Black line: Control Antigen (100 ng);Purple line: Antigen (10ng); Blue line: Antigen (50 ng); Red line:Antigen (100 ng)

-
Western blot analysis using HLA-B mouse mAb against Ramos (1) and A431 (2) cell lysate.

-
Flow cytometric analysis of Hela cells using HLA-B mouse mAb (green) and negative control (red).

-
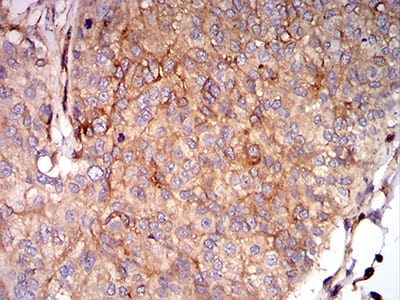
Immunohistochemical analysis of paraffin-embedded human ovarian cancer tissues using HLA-B mouse mAb with DAB staining.

-
Immunohistochemical analysis of paraffin-embedded human bladder cancer tissues using HLA-B mouse mAb with DAB staining.






鄂公网安备42018502007531号

