Mouse Monoclonal Antibody to MET
货号:
31098
别名:
HGFR; AUTS9; RCCP2; c-Met; DFNB97
应用:
WB,IHC,IF,FCM
反应种属:
Human,Monkey
抗体类型:
Primary antibody
Swissprot:
P08581
规格:
目录价
在线咨询
Description |
|---|
This gene encodes a member of the receptor tyrosine kinase family of proteins and the product of the proto-oncogene MET. The encoded preproprotein is proteolytically processed to generate alpha and beta subunits that are linked via disulfide bonds to form the mature receptor. Further processing of the beta subunit results in the formation of the M10 peptide, which has been shown to reduce lung fibrosis. Binding of its ligand, hepatocyte growth factor, induces dimerization and activation of the receptor, which plays a role in cellular survival, embryogenesis, and cellular migration and invasion. Mutations in this gene are associated with papillary renal cell carcinoma, hepatocellular carcinoma, and various head and neck cancers. Amplification and overexpression of this gene are also associated with multiple human cancers. |
References |
|---|
| 1.Oncotarget. 2015 Jun 30;6(18):16215-26. 2.Br J Cancer. 2015 Feb 3;112(3):429-37. |
Specification |
|
|---|---|
| Aliases | HGFR; AUTS9; RCCP2; c-Met; DFNB97 |
| Entrez GeneID | 4233 |
| Swissprot | P08581 |
| clone | 5E9C4 |
| WB Predicted band size | 155kDa |
| Host/Isotype | Mouse IgG1 |
| Antibody Type | Primary antibody |
| Storage | Store at 4°C short term. Aliquot and store at -20°C long term. Avoid freeze/thaw cycles. |
| Species Reactivity | Human,Monkey |
| Immunogen | Purified recombinant fragment of human MET (AA: 743-932) expressed in E. Coli. |
| Formulation | Purified antibody in PBS with 0.05% sodium azide |
Application |
|
|---|---|
| WB | 1/500 - 1/2000 |
| IHC | 1/200 - 1/1000 |
| IF | 1/200 - 1/1000 |
| FCM | 1/200 - 1/400 |
| ELISA | 1/10000 |
Product Image
-
Black line: Control Antigen (100 ng);Purple line: Antigen (10ng); Blue line: Antigen (50 ng); Red line:Antigen (100 ng)

-
Western blot analysis using MET mouse mAb against A549 (1), COS7 (2), Hela (3), HEK293 (4), HepG2 (5), and A431 (6) cell lysate.

-
Immunofluorescence analysis of Hela cells using MET mouse mAb (green). Blue: DRAQ5 fluorescent DNA dye. Red: Actin filaments have been labeled with Alexa Fluor- 555 phalloidin. Secondary antibody from Fisher (Cat#: 35503)

-
Flow cytometric analysis of MCF-7 cells using MET mouse mAb (green) and negative control (red).

-
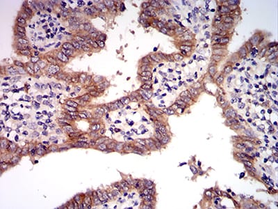
Immunohistochemical analysis of paraffin-embedded human endometrial cancer tissues using MET mouse mAb with DAB staining.






鄂公网安备42018502007531号

