Mouse Monoclonal Antibody to ZFP91
货号:
31085
别名:
PZF; DMS-8; DSM-8; FKSG11; ZFP-91; ZNF757
应用:
WB,IHC,IF,FCM
反应种属:
Human
抗体类型:
Primary antibody
Swissprot:
Q96JP5
规格:
目录价
在线咨询
Description |
|---|
The protein encoded by this gene is a member of the zinc finger family of proteins. The gene product contains C2H2-type domains, which are the classical zinc finger domains found in numerous nucleic acid-binding proteins. This protein functions as a regulator of the non-canonical NF-kappaB pathway in lymphotoxin-beta receptor signaling. Alternative splicing results in multiple transcript variants. A read-through transcript variant composed of ZFP91 and the downstream CNTF gene sequence has been identified, but it is thought to be non-coding. Read-through transcription of ZFP91 and CNTF has also been observed in mouse. A ZFP91-related pseudogene has also been identified on chromosome 2. |
References |
|---|
| 1.Pathol Oncol Res. 2014 Apr;20(2):453-9. 2.Biochem Biophys Res Commun. 2010 Oct 1;400(4):581-6. |
Specification |
|
|---|---|
| Aliases | PZF; DMS-8; DSM-8; FKSG11; ZFP-91; ZNF757 |
| Entrez GeneID | 80829 |
| Swissprot | Q96JP5 |
| clone | 8C3D5 |
| WB Predicted band size | 63.4kDa |
| Host/Isotype | Mouse IgG1 |
| Antibody Type | Primary antibody |
| Storage | Store at 4°C short term. Aliquot and store at -20°C long term. Avoid freeze/thaw cycles. |
| Species Reactivity | Human |
| Immunogen | Purified recombinant fragment of human ZFP91 (AA: 162-304) expressed in E. Coli. |
| Formulation | Purified antibody in PBS with 0.05% sodium azide |
Application |
|
|---|---|
| WB | 1/500 - 1/2000 |
| IHC | 1/200 - 1/1000 |
| IF | 1/100 - 1/500 |
| FCM | 1/200 - 1/400 |
| ELISA | 1/10000 |
Product Image
-
Black line: Control Antigen (100 ng);Purple line: Antigen (10ng); Blue line: Antigen (50 ng); Red line:Antigen (100 ng)

-
Western blot analysis using ZFP91 mouse mAb against Jurkat (1), A431 (2), HepG2 (3), HEK293 (4), A549 (5), and PC-3 (6) cell lysate.

-
Immunofluorescence analysis of Hela cells using ZFP91 mouse mAb. Blue: DRAQ5 fluorescent DNA dye. Red: Actin filaments have been labeled with Alexa Fluor- 555 phalloidin.

-
Immunofluorescence analysis of Hela cells using ZFP91 mouse mAb (green). Blue: DRAQ5 fluorescent DNA dye. Red: Actin filaments have been labeled with Alexa Fluor- 555 phalloidin. Secondary antibody from Fisher (Cat#: 35503)

-
Flow cytometric analysis of Hela cells using ZFP91 mouse mAb (green) and negative control (red).

-
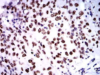
Immunohistochemical analysis of paraffin-embedded human ovarian cancer tissues using ZFP91 mouse mAb with DAB staining.

-
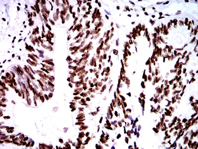
Immunohistochemical analysis of paraffin-embedded human rectum cancer tissues using ZFP91 mouse mAb with DAB staining.








鄂公网安备42018502007531号

