Mouse Monoclonal Antibody to PTPN14
货号:
31049
别名:
PEZ; PTP36
应用:
IHC,IF,FCM
反应种属:
Human
抗体类型:
Primary antibody
Swissprot:
Q15678
规格:
目录价
在线咨询
Description |
|---|
The protein encoded by this gene is a member of the protein tyrosine phosphatase (PTP) family. PTPs are known to be signaling molecules that regulate a variety of cellular processes including cell growth, differentiation, mitotic cycle, and oncogenic transformation. This PTP contains an N-terminal noncatalytic domain similar to that of band 4.1 superfamily cytoskeleton-associated proteins, which suggested the membrane or cytoskeleton localization of this protein. It appears to regulate lymphatic development in mammals, and a loss of function mutation has been found in a kindred with a lymphedema-choanal atresia. |
References |
|---|
| 1.Oncogene. 2013 Apr 18;32(16):2087-95. 2.PLoS One. 2013 Apr 16;8(4):e61916. |
Specification |
|
|---|---|
| Aliases | PEZ; PTP36 |
| Entrez GeneID | 5784 |
| Swissprot | Q15678 |
| clone | 2C12E3 |
| WB Predicted band size | 135.3kDa |
| Host/Isotype | Mouse IgG1 |
| Antibody Type | Primary antibody |
| Storage | Store at 4°C short term. Aliquot and store at -20°C long term. Avoid freeze/thaw cycles. |
| Species Reactivity | Human |
| Immunogen | Purified recombinant fragment of human PTPN14 (AA: 896-1169) expressed in E. Coli. |
| Formulation | Purified antibody in PBS with 0.05% sodium azide |
Application |
|
|---|---|
| IHC | 1/200 - 1/1000 |
| IF | 1/200 - 1/1000 |
| FCM | 1/200 - 1/400 |
| ELISA | 1/10000 |
Product Image
-
Black line: Control Antigen (100 ng);Purple line: Antigen (10ng); Blue line: Antigen (50 ng); Red line:Antigen (100 ng)

-
Immunofluorescence analysis of Hela cells using PTPN14 mouse mAb. Blue: DRAQ5 fluorescent DNA dye. Red: Actin filaments have been labeled with Alexa Fluor- 555 phalloidin.

-
Immunofluorescence analysis of Hela cells using PTPN14 mouse mAb (green). Blue: DRAQ5 fluorescent DNA dye. Red: Actin filaments have been labeled with Alexa Fluor- 555 phalloidin. Secondary antibody from Fisher (Cat#: 35503)

-
Flow cytometric analysis of Hela cells using PTPN14 mouse mAb (green) and negative control (red).

-
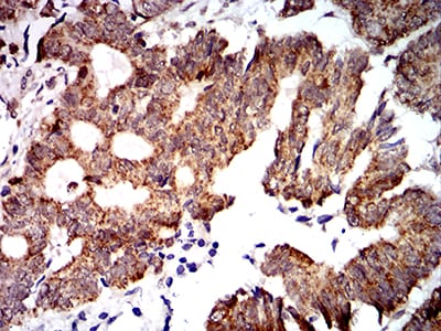
Immunohistochemical analysis of paraffin-embedded human rectum cancer tissues using PTPN14 mouse mAb with DAB staining.

-
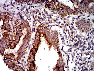
Immunohistochemical analysis of paraffin-embedded human endometrial cancer tissues using PTPN14 mouse mAb with DAB staining.







鄂公网安备42018502007531号

