Mouse Monoclonal Antibody to CD2
货号:
31026
别名:
T11; SRBC; LFA-2
应用:
WB,IHC,FCM
反应种属:
Mouse
抗体类型:
Primary antibody
Swissprot:
P06729
规格:
目录价
在线咨询
Description |
|---|
CD2 is a surface antigen of the human T-lymphocyte lineage that is expressed on all peripheral blood T cells (summarized by Sewell et al., 1986 [PubMed 3490670]). It is one of the earliest T-cell markers, being present on more than 95% of thymocytes; it is also found on some natural killer cells but not on B lymphocytes. Monoclonal antibodies directed against CD2 inhibit the formation of rosettes with sheep erythrocytes, indicating that CD2 is the erythrocyte receptor or is closely associated with it. |
References |
|---|
| 1.J Virol. 2013 Aug;87(16):9148-58. 2.PLoS One. 2012;7(10):e47664. |
Specification |
|
|---|---|
| Aliases | T11; SRBC; LFA-2 |
| Entrez GeneID | 914 |
| Swissprot | P06729 |
| clone | 3D1E3 |
| WB Predicted band size | 39.4kDa |
| Host/Isotype | Mouse IgG1 |
| Antibody Type | Primary antibody |
| Storage | Store at 4°C short term. Aliquot and store at -20°C long term. Avoid freeze/thaw cycles. |
| Species Reactivity | Mouse |
| Immunogen | Purified recombinant fragment of human CD2 (AA: 25-140) expressed in E. Coli. |
| Formulation | Purified antibody in PBS with 0.05% sodium azide |
Application |
|
|---|---|
| WB | 1/500 - 1/2000 |
| IHC | 1/200 - 1/1000 |
| FCM | 1/200 - 1/400 |
| ELISA | 1/10000 |
Product Image
-
Black line: Control Antigen (100 ng);Purple line: Antigen (10ng); Blue line: Antigen (50 ng); Red line:Antigen (100 ng)

-
Western blot analysis using CD2 mouse mAb against MOLT4 (1), MCF-7 (2), L1210 (3), U937 (4), and NIH3T3 (5) cell lysate.

-
Flow cytometric analysis of Hela cells using CD2 mouse mAb (green) and negative control (red).

-
Flow cytometric analysis of HepG2 cells using CD2 mouse mAb (green) and negative control (red).

-
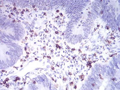
Immunohistochemical analysis of paraffin-embedded human rectum cancer tissues using CD2 mouse mAb with DAB staining.

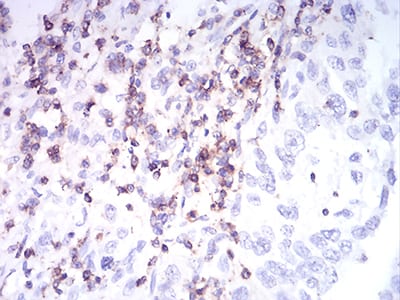
-
Immunohistochemical analysis of paraffin-embedded human endometrial cancer tissues using CD2 mouse mAb with DAB staining.







鄂公网安备42018502007531号

