Mouse Monoclonal Antibody to PGRMC1
货号:
31029
别名:
MPR; HPR6.6
应用:
IHC,IF,FCM
反应种属:
Human
抗体类型:
Primary antibody
Swissprot:
O00264
规格:
目录价
在线咨询
Description |
|---|
This gene encodes a putative membrane-associated progesterone steroid receptor. The protein is expressed predominantly in the liver and kidney. |
References |
|---|
| 1.Cancer Lett. 2015 Jan 28;356(2 Pt B):434-42. 2.Nan Fang Yi Ke Da Xue Xue Bao. 2012 May;32(5):635-8. |
Specification |
|
|---|---|
| Aliases | MPR; HPR6.6 |
| Entrez GeneID | 10857 |
| Swissprot | O00264 |
| clone | 7G11G8 |
| WB Predicted band size | 21.7kDa |
| Host/Isotype | Mouse IgG1 |
| Antibody Type | Primary antibody |
| Storage | Store at 4°C short term. Aliquot and store at -20°C long term. Avoid freeze/thaw cycles. |
| Species Reactivity | Human |
| Immunogen | Purified recombinant fragment of human PGRMC1 (AA: 1-195) expressed in E. Coli. |
| Formulation | Purified antibody in PBS with 0.05% sodium azide |
Application |
|
|---|---|
| IHC | 1/200 - 1/1000 |
| IF | 1/200 - 1/1000 |
| FCM | 1/200 - 1/400 |
| ELISA | 1/10000 |
Product Image
-
Black line: Control Antigen (100 ng);Purple line: Antigen (10ng); Blue line: Antigen (50 ng); Red line:Antigen (100 ng)

-
Immunofluorescence analysis of SK-OV-3 cells using PGRMC1 mouse mAb (green). Blue: DRAQ5 fluorescent DNA dye. Red: Actin filaments have been labeled with Alexa Fluor- 555 phalloidin. Secondary antibody from Fisher (Cat#: 35503)

-
Flow cytometric analysis of A549 cells using PGRMC1 mouse mAb (green) and negative control (red).

-
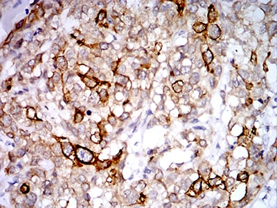
Immunohistochemical analysis of paraffin-embedded human cervical cancer tissues using PGRMC1 mouse mAb with DAB staining.

-
Immunohistochemical analysis of paraffin-embedded human breast cancer tissues using PGRMC1 mouse mAb with DAB staining.






鄂公网安备42018502007531号

